Сложно представить современный стоматологический центр без имплантации зубов, и наша клиника не исключение. На сегодняшний момент имплантация — это самый «продвинутый» способ вернуть потерянные зубы.

Оставить заявку

Что такое имплантация зубов?

Итак, что же нужно знать о дентальной имплантации в Калининграде, прежде чем на нее решиться?

Благодаря тому, что титановые элементы не воспринимаются организмом как что-то чужеродное, костная ткань обволакивает титановый имплант и проникает в его пористую поверхность. В результате он фактически срастается с челюстью.

Имплантация зубов в клинике «Улыбайтесь чаще» позволяет восстановить утраченный зуб полностью – «от корня до макушки».

По своей сути сам имплант – замена корня зуба.

Это винт, который вкручивается в кость челюсти на то место, где когда-то «сидел» родной зуб. Сверху к импланту прикручивается переходник: абатмент. И вот уже на переходнике фиксируется искусственная коронка, красивая керамическая часть, которую мы и видим во рту.

При жевании давление с имплантов передается точно так же, как с корней своих зубов. Оно полностью физиологично, импланты ощущаются во рту «как родные»: ими удобно откусывать и пережевывать любую пищу.

Еще один плюс – имплантация зубов позволяет избежать истончения кости, и в дальнейшем и позволяет сохранить красивую десну вокруг коронки или протеза. При этом соседние зубы никак не участвуют в процессе имплантации и спокойно продолжают жить своей жизнью.

Имплантат зуба обычно состоит из трех основных частей:

Имплантация зубов – это больно?

Так как операция по установке импланта всегда проходит под местным обезболиванием, болевых ощущений точно нет. Самое неприятное, что Вы можете почувствовать - вибрация в кости. Это может быть дискомфортно, но точно не болезненно. В среднем установка одного импланта занимает всего 10-15 минут. 

После того, как заканчивается действие анестезии, могут появиться боль и отек — это нормальная реакция организма на травму. Болезненные ощущения достигают пика спустя 24 часа, затем постепенно идут на спад. Отек усиливается на второй-третий день и полностью проходит спустя неделю. После операции наш  хирург-имплантолог всегда даст рекомендации по приему необходимых лекарственных препаратов, уходу и полосканию полости рта.

Имплантация зубов – это навсегда?

Чтобы имплант прочно зафиксировался в кости, он должен быть окружен ею со всех сторон минимум на 2 мм. На нижней челюсти, где кость более плотная, интеграция занимает 2—3 месяца. На верхней челюсти структура кости более рыхлая — импланты здесь приживаются медленнее, до 4—5 месяцев.

Импланты не изнашиваются со временем и не нуждаются в замене. Правда, это не значит, что с ними ничего не может случиться. Если за имплантом плохо ухаживать, на нем будет скапливаться микробный налет. Рано или поздно он просочиться под десну и вызовет воспаление кости, в которой «сидит» винт. Кость начнет разрушаться, имплант лишится опоры и выпадет. Чтобы этого не допустить, необходимо поддерживать хорошую гигиену и регулярно показываться стоматологу.

Подготовка и процесс имплантации зубов

  1. 1

    Диагностика и планирование

    Врач проводит осмотр полости рта пациента, делает рентген или КТ-исследование, чтобы определить состояние костной ткани и спланировать установку имплантата. На этом этапе также обсуждаются индивидуальные потребности пациента и выбирается подходящий тип имплантата.

  2. 2

    Непосредственно установка имплантата

    Процедура установки имплантата проводится под местной анестезией и занимает не более часа.

    Врач делает небольшой разрез в десне и формирует отверстие в костной ткани челюсти.

    В подготовленное отверстие вставляется имплантат, который замещает корень отсутствующего зуба.

    После установки имплантат накрывается специальным колпачком и формирует место в десне для будущего зуба.

  3. 3

    Период остеоинтеграции

    После установки имплантата требуется время для интеграции с костной тканью, что обычно занимает от 2–3 до 6 месяцев.

    В этот период происходит процесс остеоинтеграции, когда костная ткань разрастается вокруг имплантата, надежно фиксируя его.

  4. 4

    Установка абатмента и коронки

    После успешной остеоинтеграции на имплантат устанавливается абатмент — промежуточный элемент, который соединяет имплантат с коронкой.

    Затем на абатмент фиксируется коронка, которая восстанавливает видимую часть зуба и обеспечивает его функцию и эстетику.

  5. 5

    Заживление и уход

    После установки коронки необходимо соблюдать рекомендации стоматолога по уходу за полостью рта и имплантатом.

    Назначаются регулярные осмотры и профессиональные чистки для поддержания здоровья полости рта и долгосрочной службы имплантата.

1 Диагностика и планирование

Врач проводит осмотр полости рта пациента, делает рентген или КТ-исследование, чтобы определить состояние костной ткани и спланировать установку имплантата. На этом этапе также обсуждаются индивидуальные потребности пациента и выбирается подходящий тип имплантата.

2 Непосредственно установка имплантата

Процедура установки имплантата проводится под местной анестезией и занимает не более часа. Врач делает небольшой разрез в десне и формирует отверстие в костной ткани челюсти. В подготовленное отверстие вставляется имплантат, который замещает корень отсутствующего зуба. После установки имплантат накрывается специальным колпачком и формирует место в десне для будущего зуба.

3 Период остеоинтеграции

После установки имплантата требуется время для интеграции с костной тканью, что обычно занимает от 2–3 до 6 месяцев. В этот период происходит процесс остеоинтеграции, когда костная ткань разрастается вокруг имплантата, надежно фиксируя его.

4 Установка абатмента и коронки

После успешной остеоинтеграции на имплантат устанавливается абатмент — промежуточный элемент, который соединяет имплантат с коронкой. Затем на абатмент фиксируется коронка, которая восстанавливает видимую часть зуба и обеспечивает его функцию и эстетику.

5 Заживление и уход

После установки коронки необходимо соблюдать рекомендации стоматолога по уходу за полостью рта и имплантатом. Назначаются регулярные осмотры и профессиональные чистки для поддержания здоровья полости рта и долгосрочной службы имплантата.

Компьютерная модель десны с установленным имплантом.
Под местной анестезией проводится небольшой разрез в десне и формируется отверстие в костной ткани челюсти.
Процесс установки зубных имплантов, стадия 3
В отверстие вставляется имплантат, который замещает корень отсутствующего зуба. Имплантат накрывается специальным колпачком.
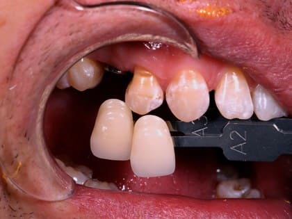
На абатмент устанавливается коронка в качестве видимой части зуба, которая обеспечивает его функцию и эстетику.

В каких случаях нельзя проводить имплантацию зубов?

Даже при полном отсутствии всех своих зубов можно восстановить жевание. В таких случаях проводят установку 4 или 6 имплантов в качестве опоры, такие операции получили название all on 4 - all on 4. Затем на опорах фиксируется полноценный протез, воспроизводящий естественный зубной ряд. Этот протез может быть съёмным или несъёмным, в зависимости от клинической ситуации и пожеланий пациента.  Если после утраты зубов прошел значительный период времени, кость могла «уйти», произошла частичная атрофия и убыль. В таком случае перед имплантацией врач проводит «подготовительные» процедуры по наращиванию и восстановлению костного гребня. Это может быть направленная костная регенерация, синус-лифтинг или костная пластика.

Несмотря на все плюсы, противопоказания к имплантации существуют. Не следует устанавливать импланты: людям младше 18-20 лет, у которых еще не завершилось формирование кости челюсти; онкологическим больным в период активного лечения; пациентам с болезнями минерального обмена или болезнями крови; пациентам, недавно перенесшим инфаркт миокарда, инсульт или операцию на сердце. Болезни щитовидной железы, аутоиммунные патологии, сахарный диабет, артериальная гипертония, стенокардия, прямыми противопоказаниями к установке имплантов не являются. Но важно отметить, имплантация возможна при условии, что пациент получает необходимое ему лечение и болезнь находится в стадии компенсации, то есть ее симптомы не проявляются.

Услуги и цены

Мы оказываем полный спектр услуг по имплантированию

Имплантация Цена

Первичный приём хирурга имплантолога

1000₽

Установка ортодонтического имплантата (инфильтрационная /проводниковая анестезия, операция по установке мини имплантата, стерильный набор)

11000₽

Анестезия инфильтрационная, проводниковая (местное обезболивание)

600₽

Установка имплантата Osstem (инфильтрационная/проводниковая анестезия, операция по установке имплантата, шовный материал, стерильный набор)

33000₽
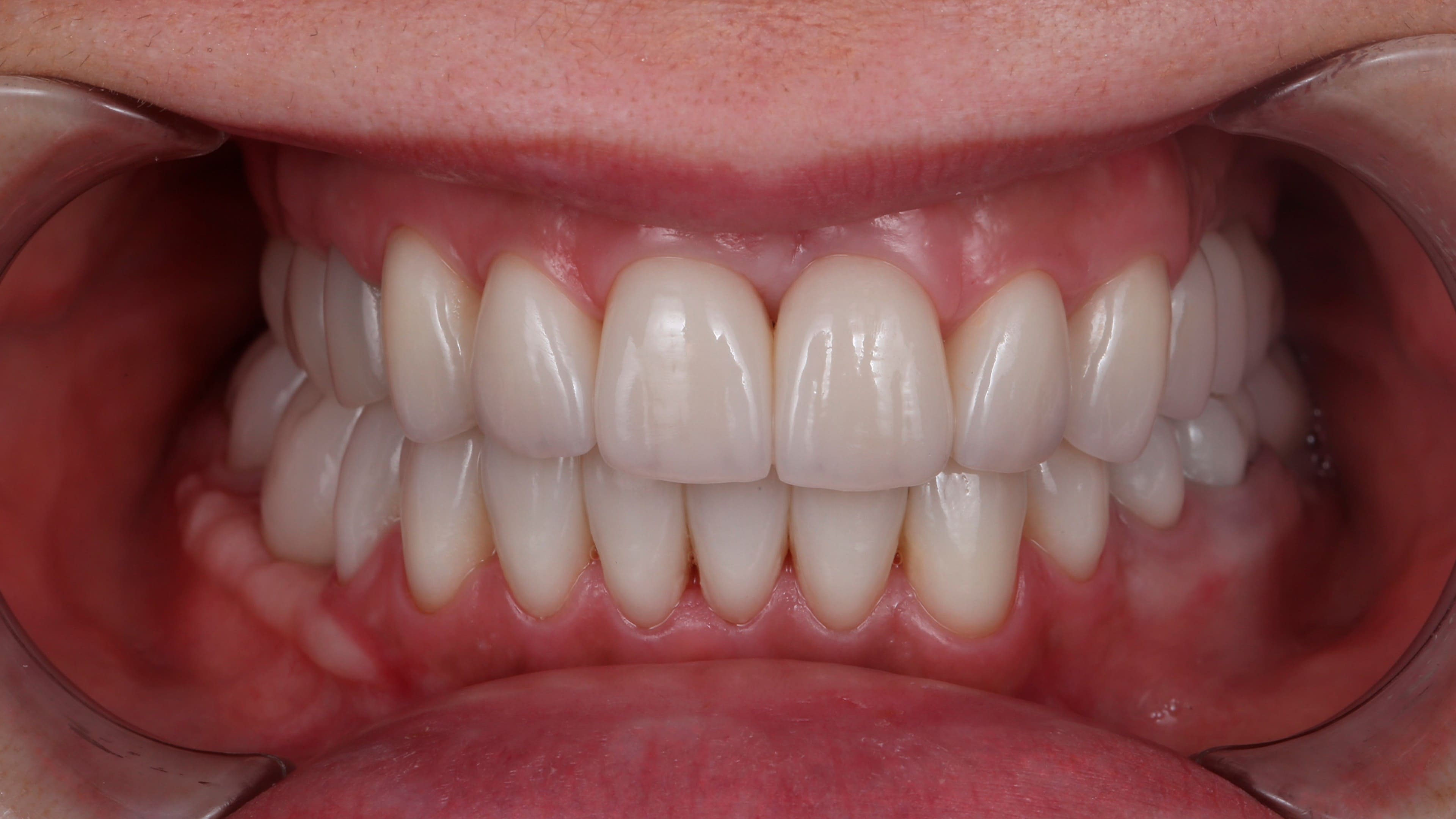
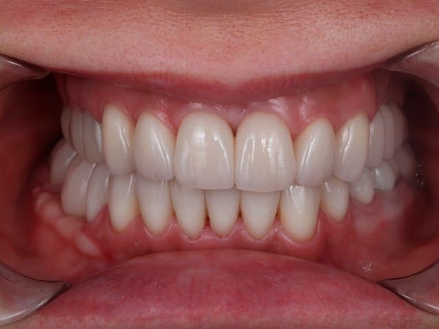
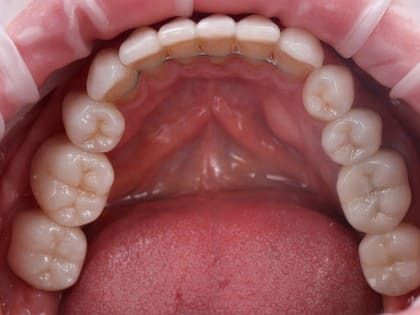
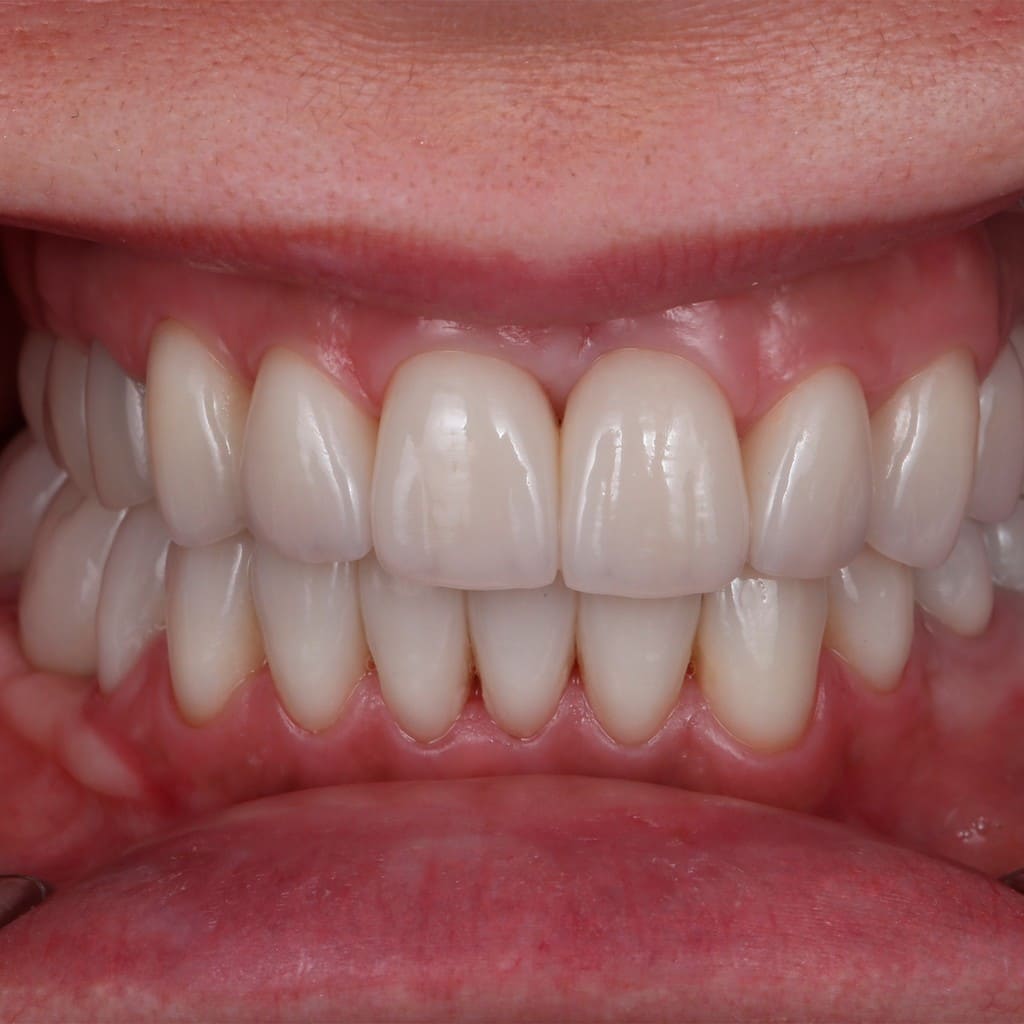
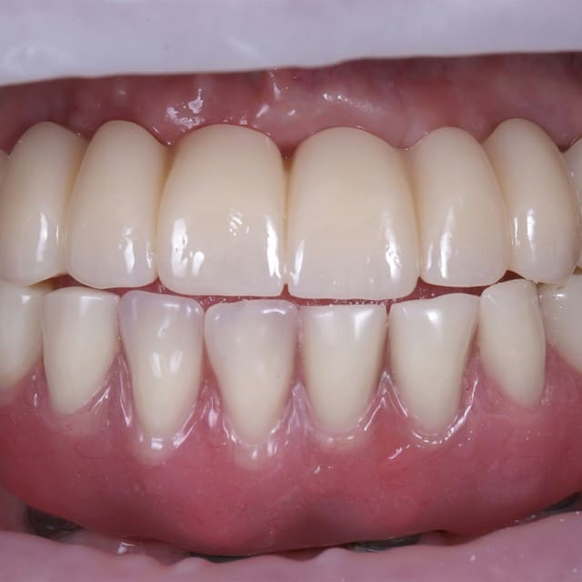
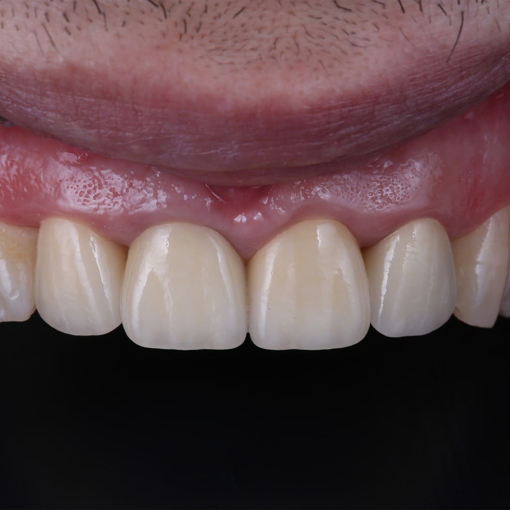
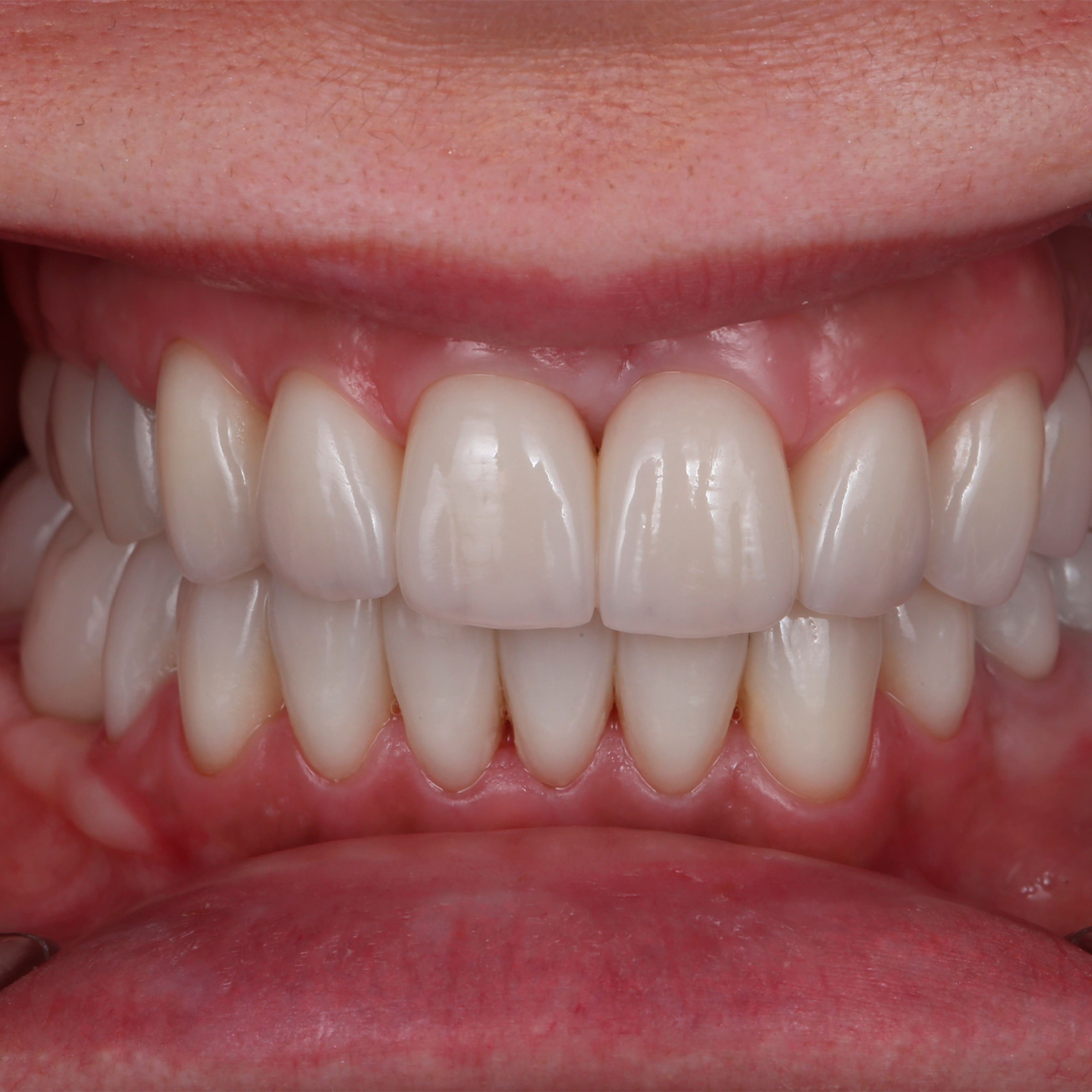
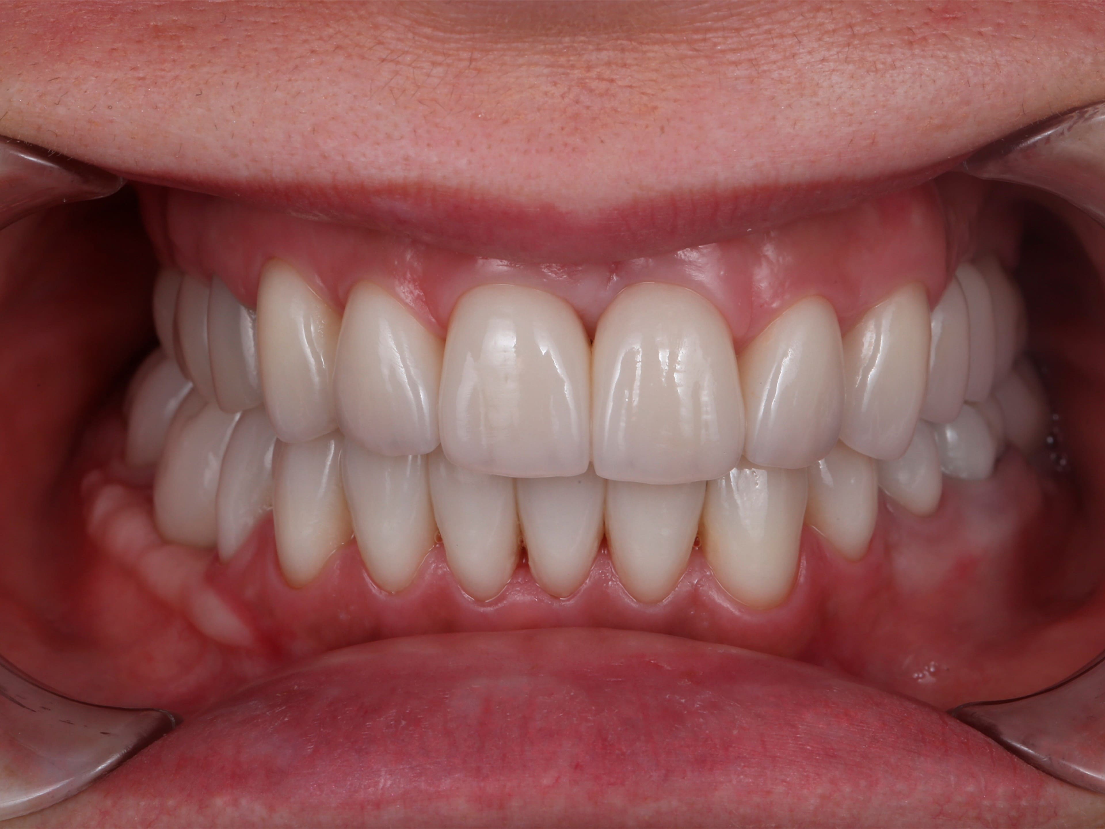
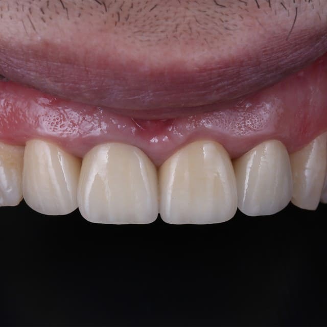
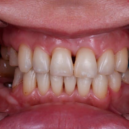
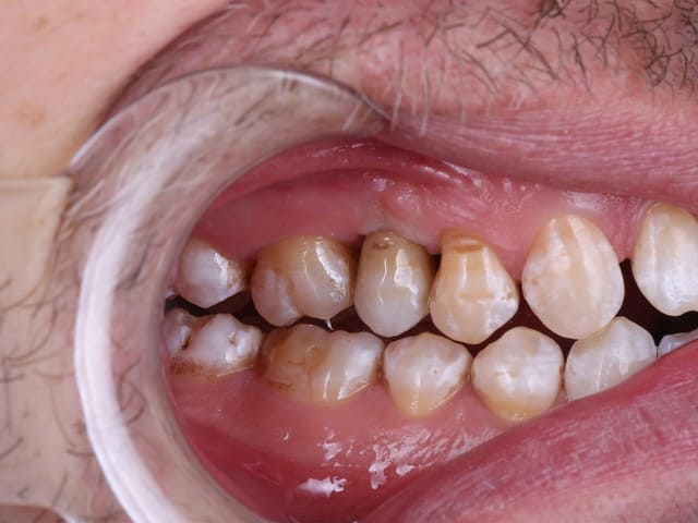
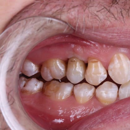
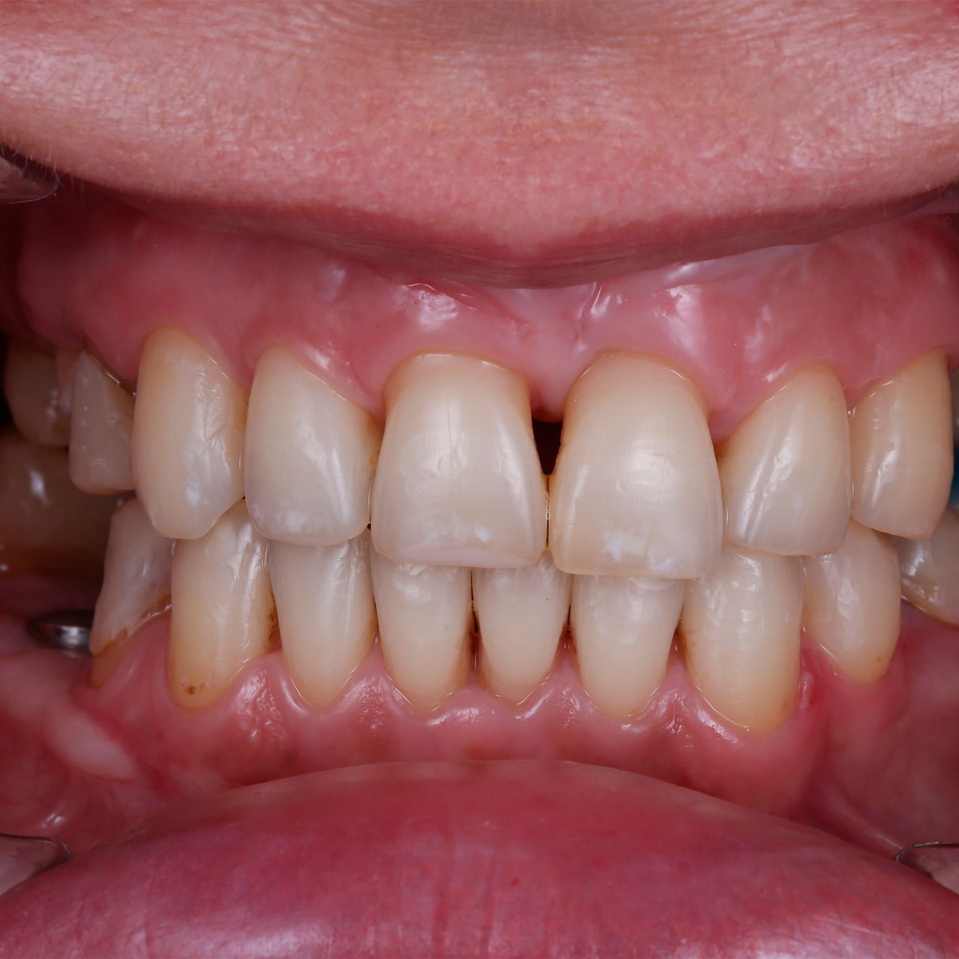
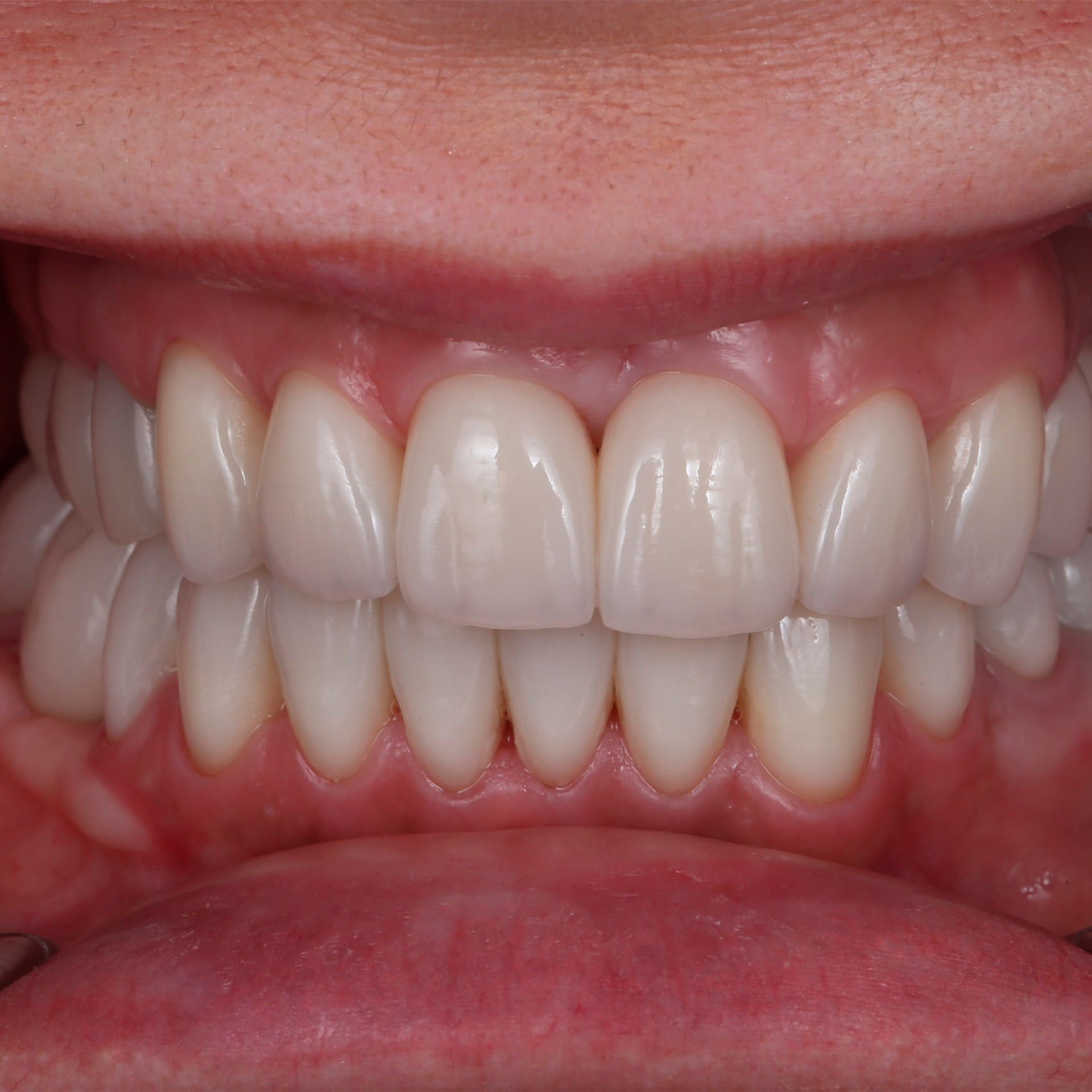
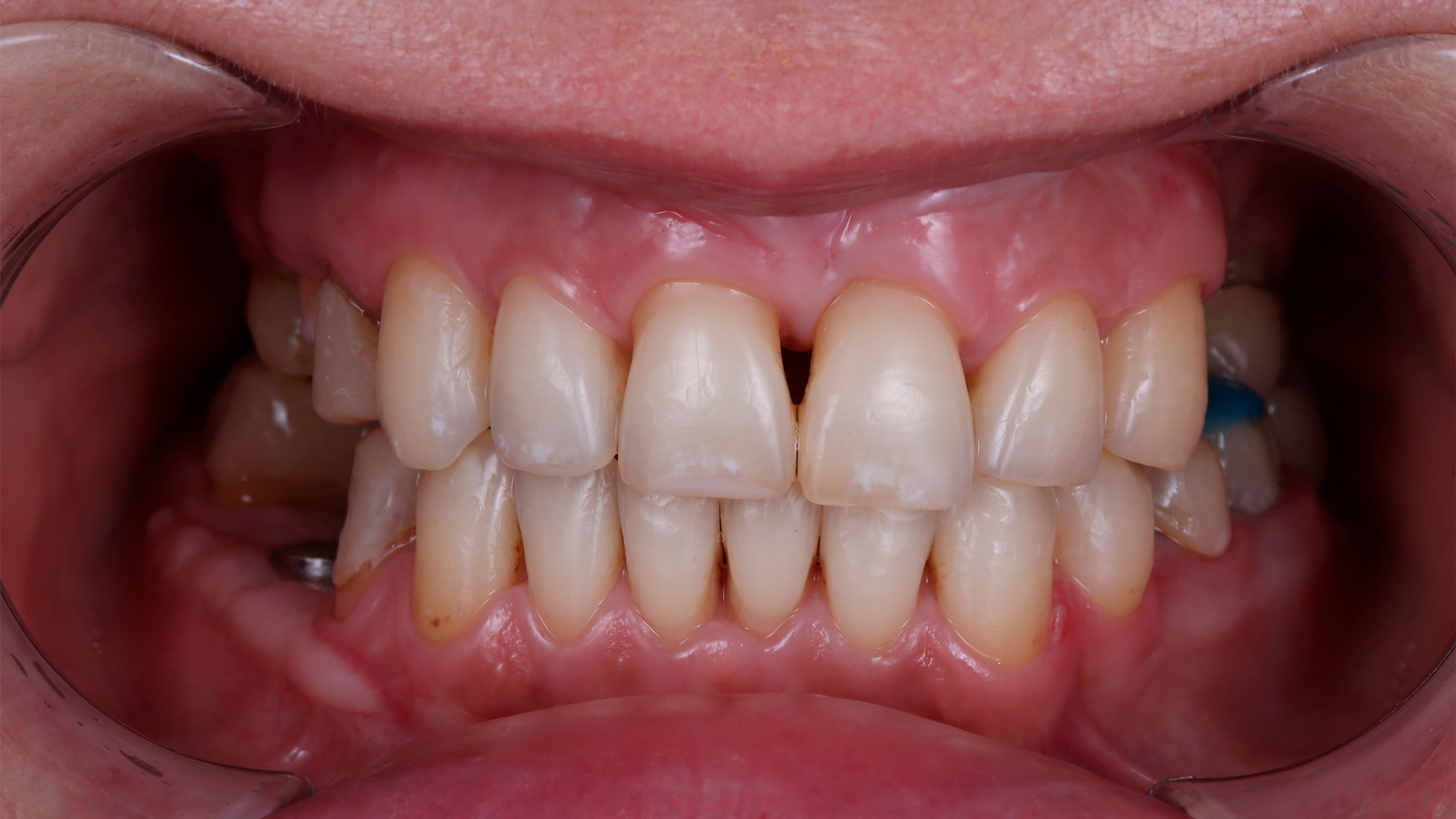
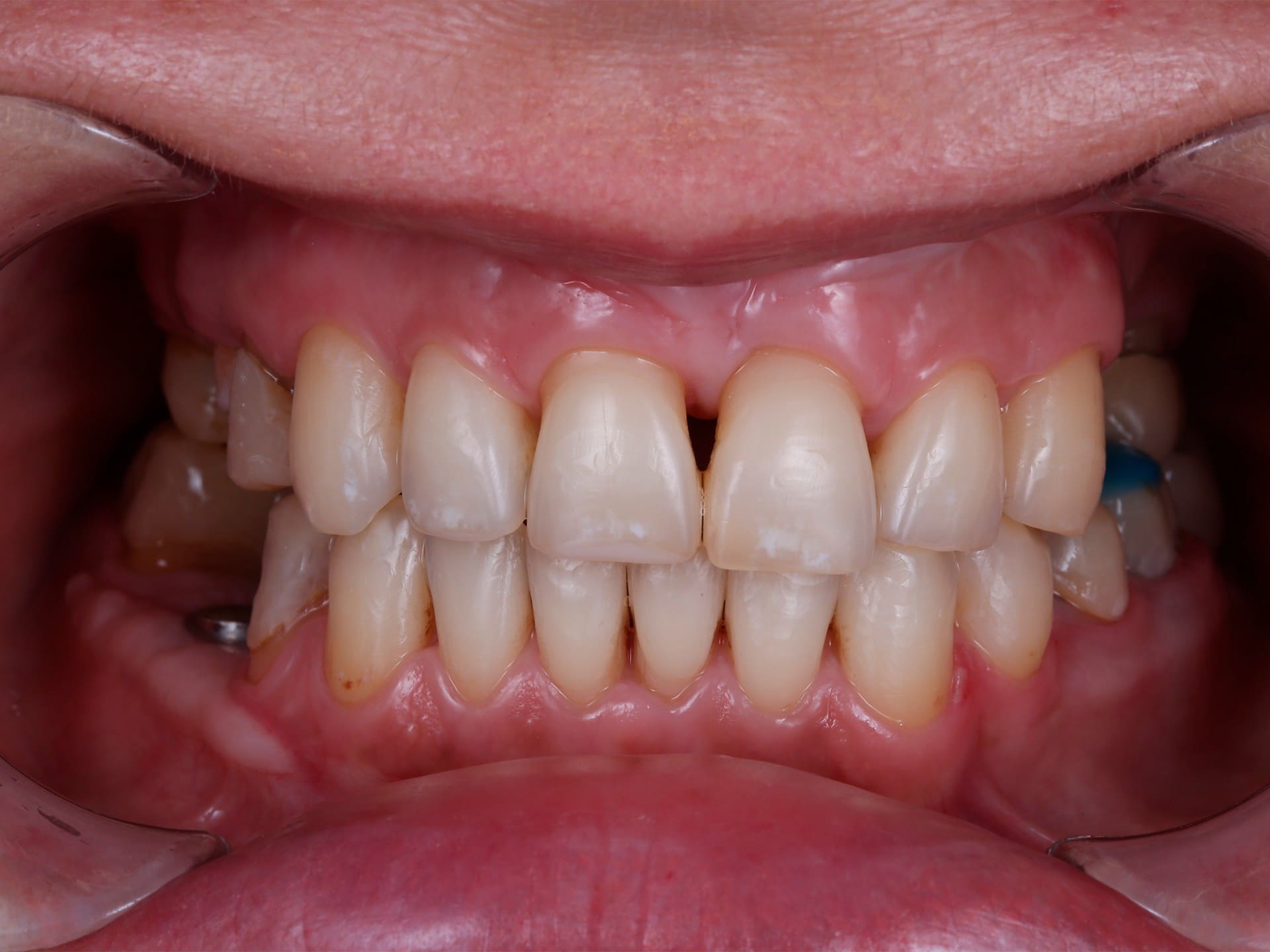
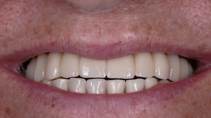
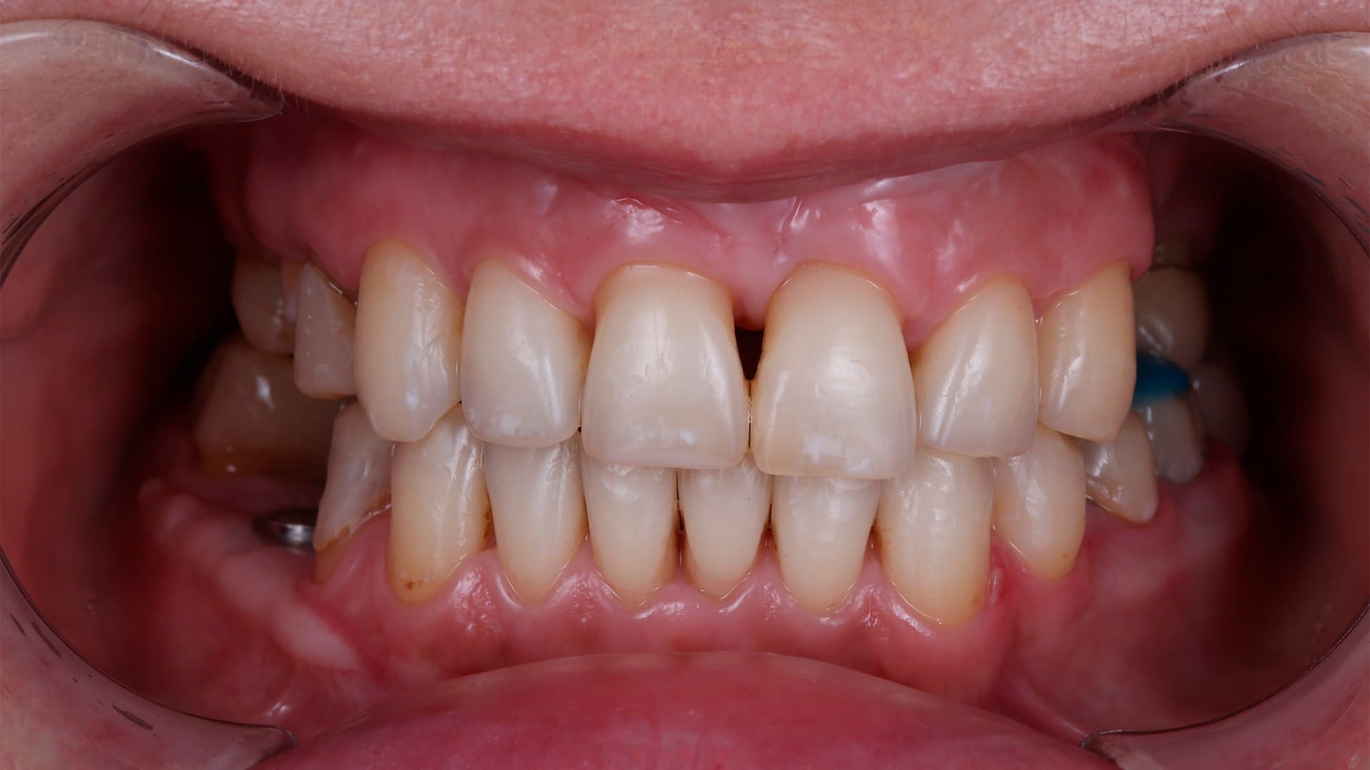
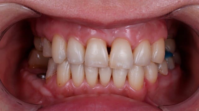
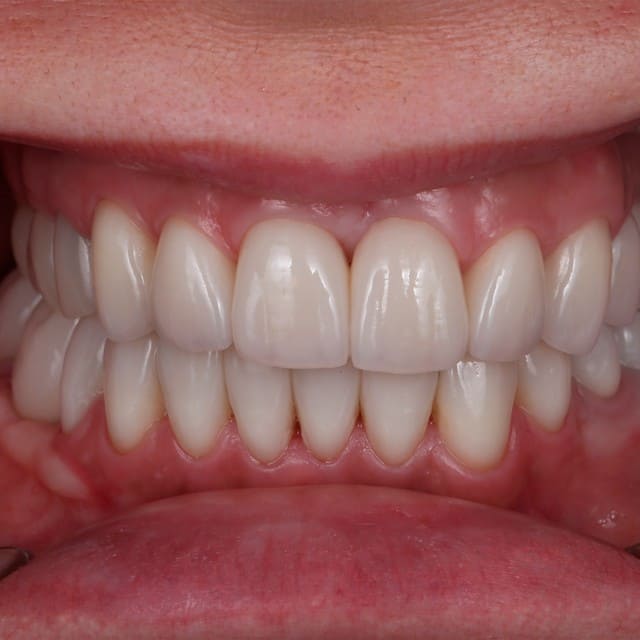
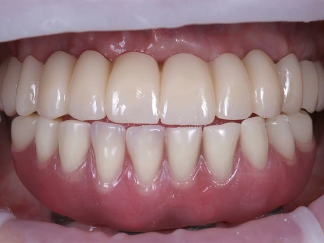
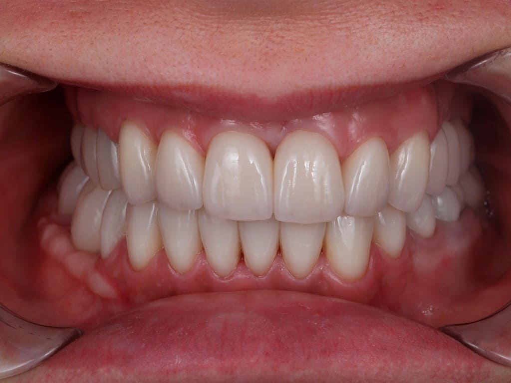
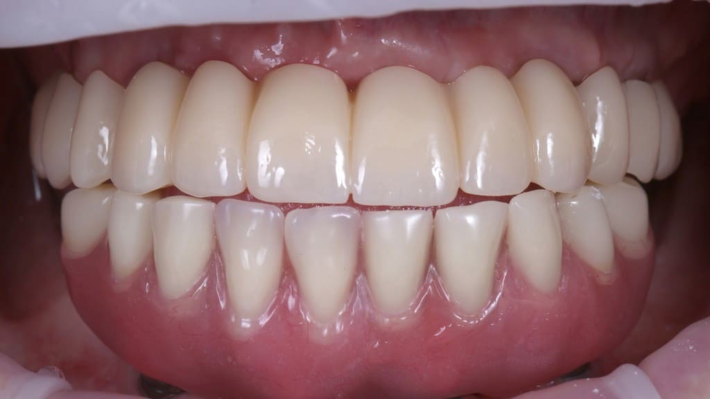
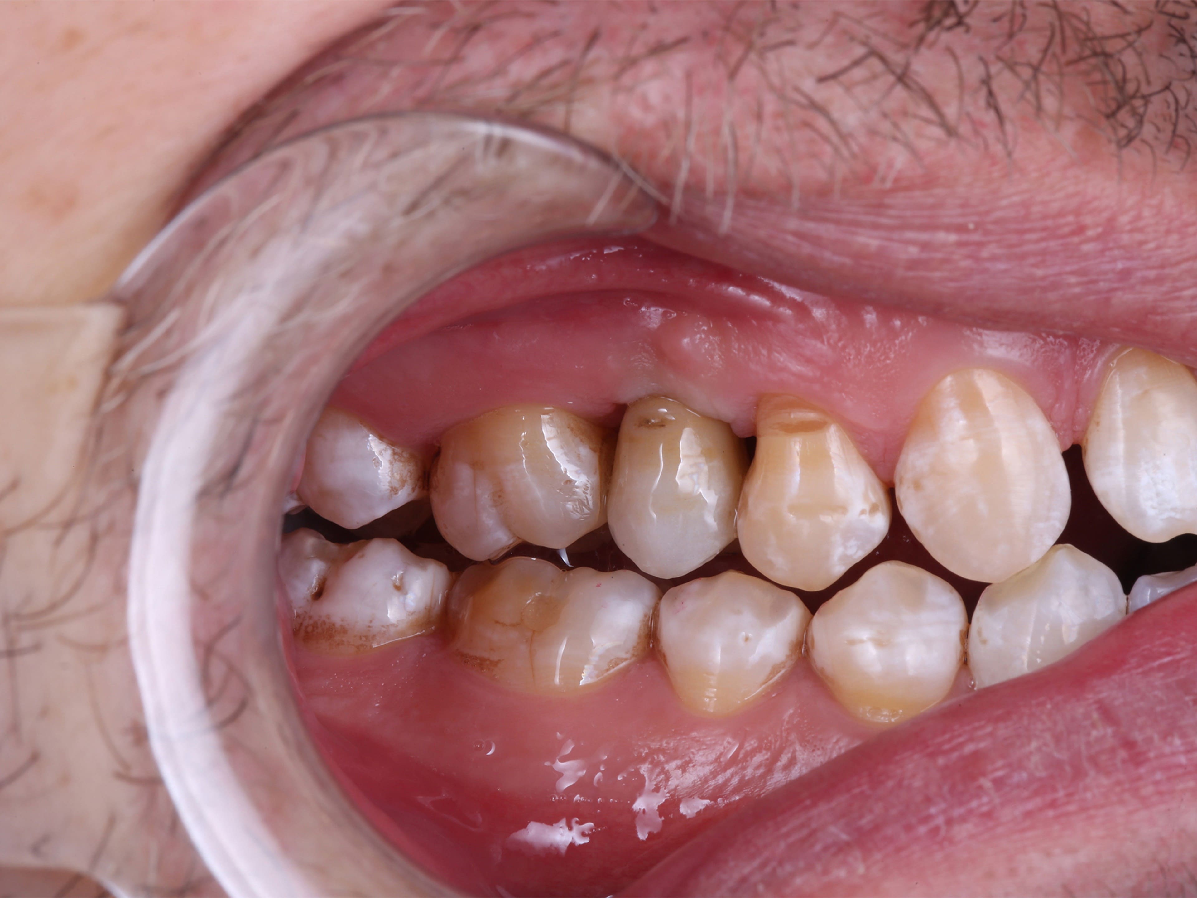
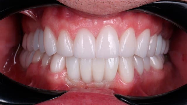
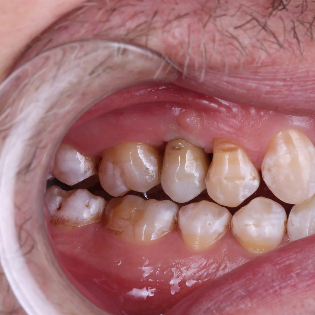
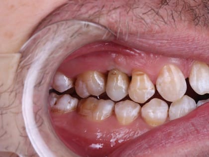
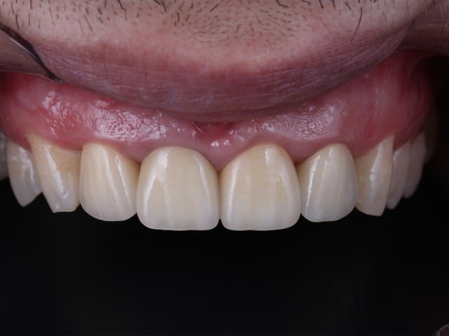
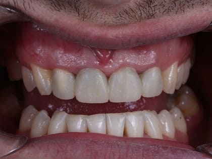
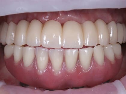
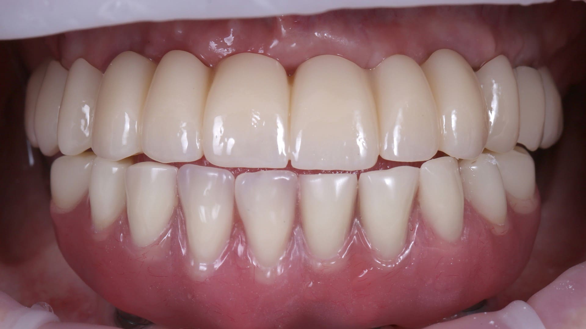
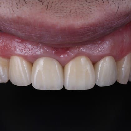
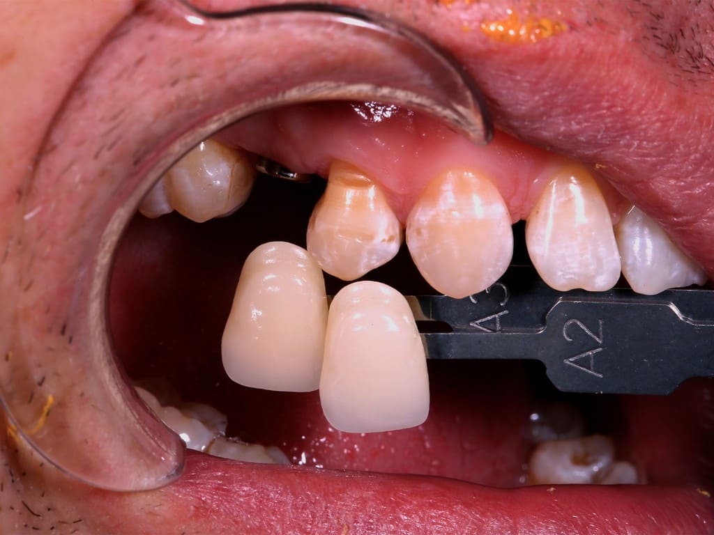
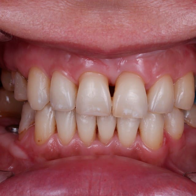
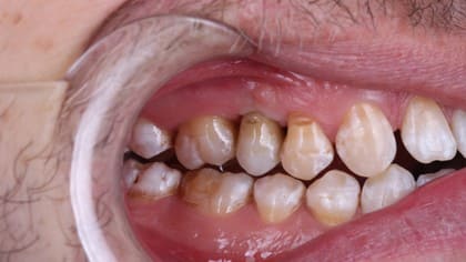
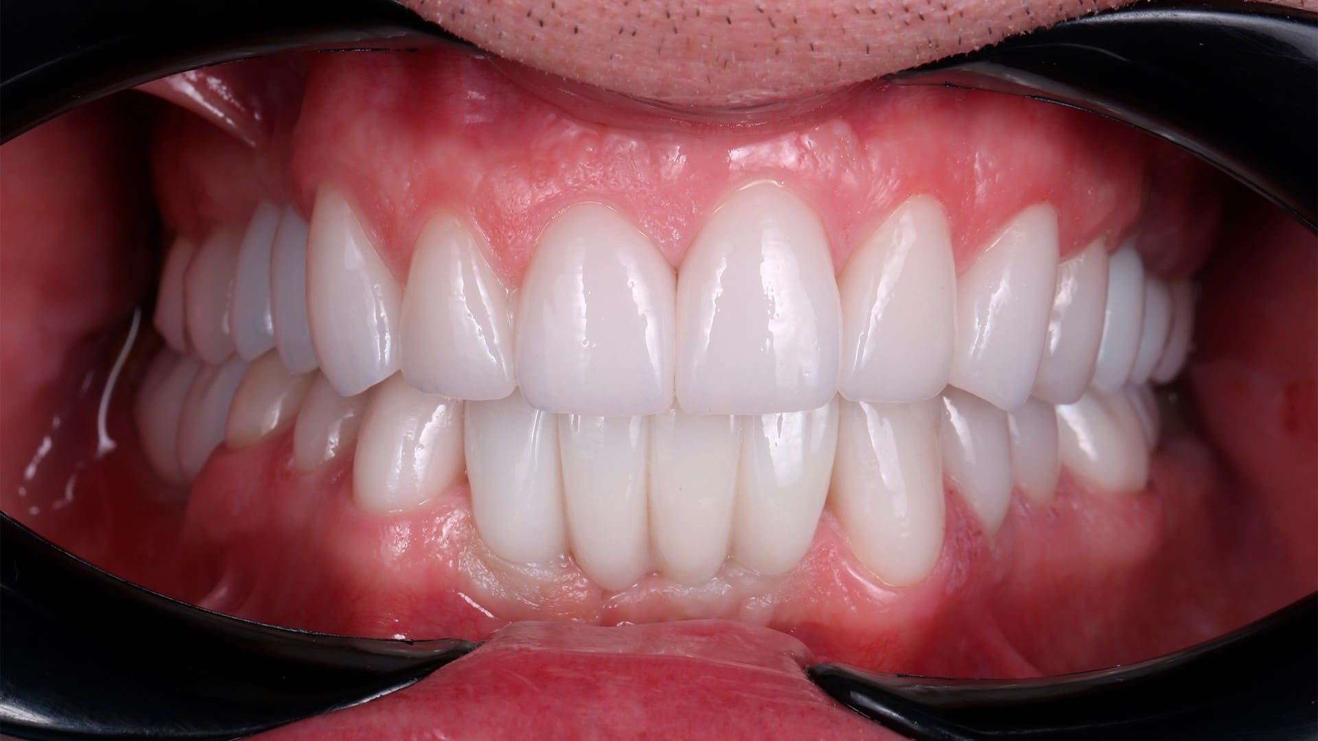
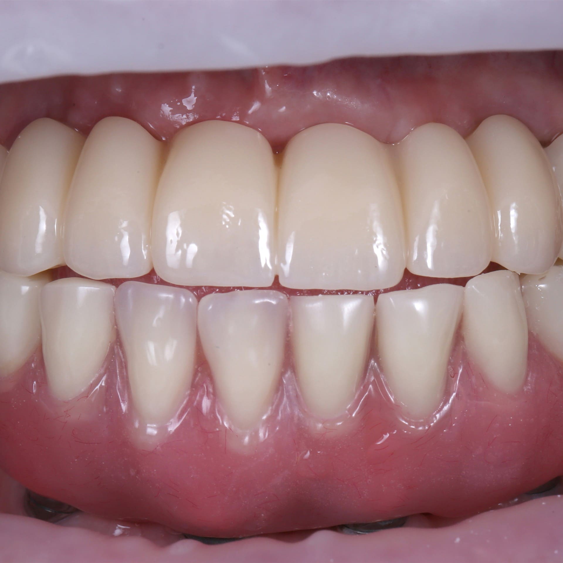
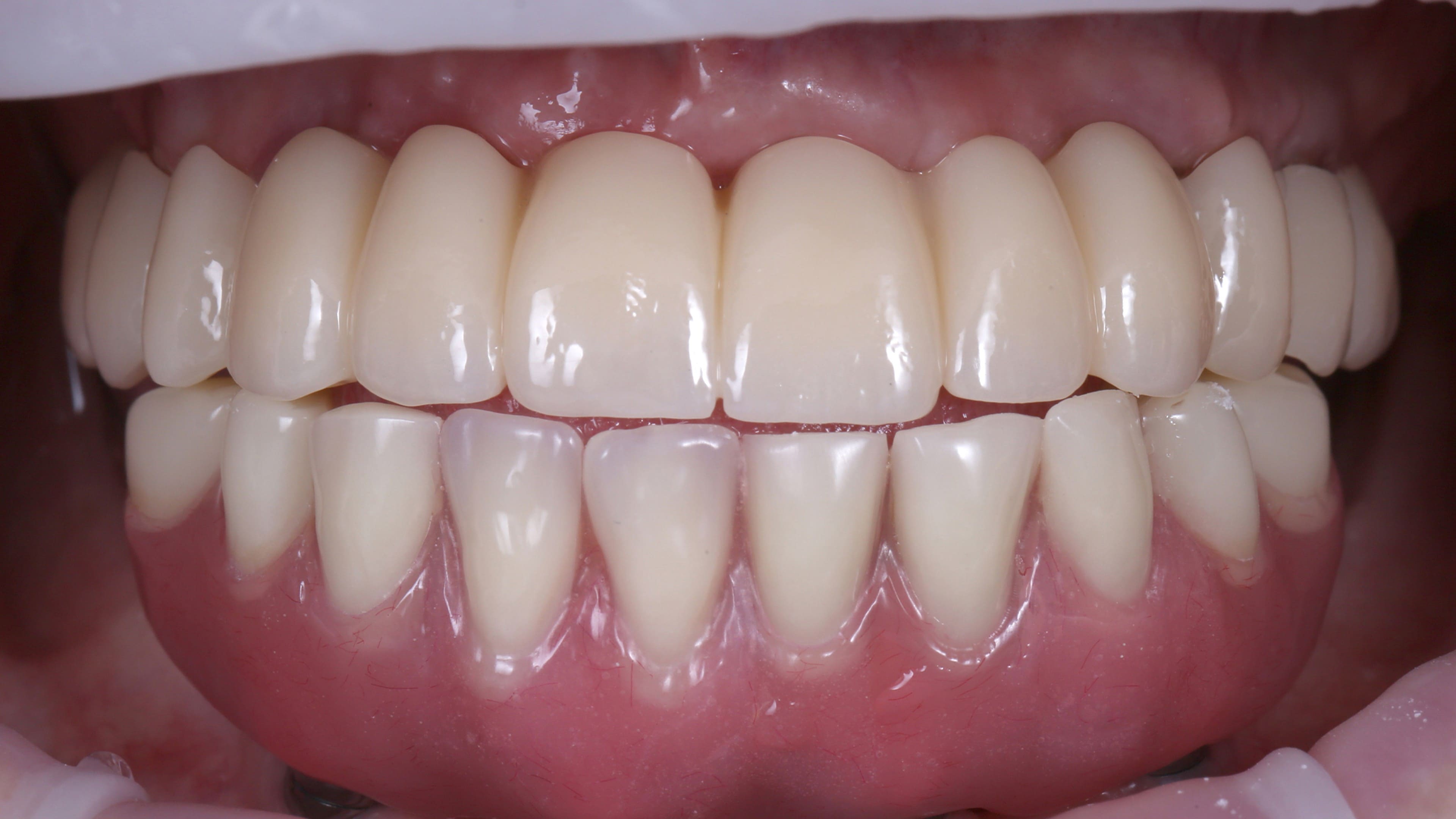
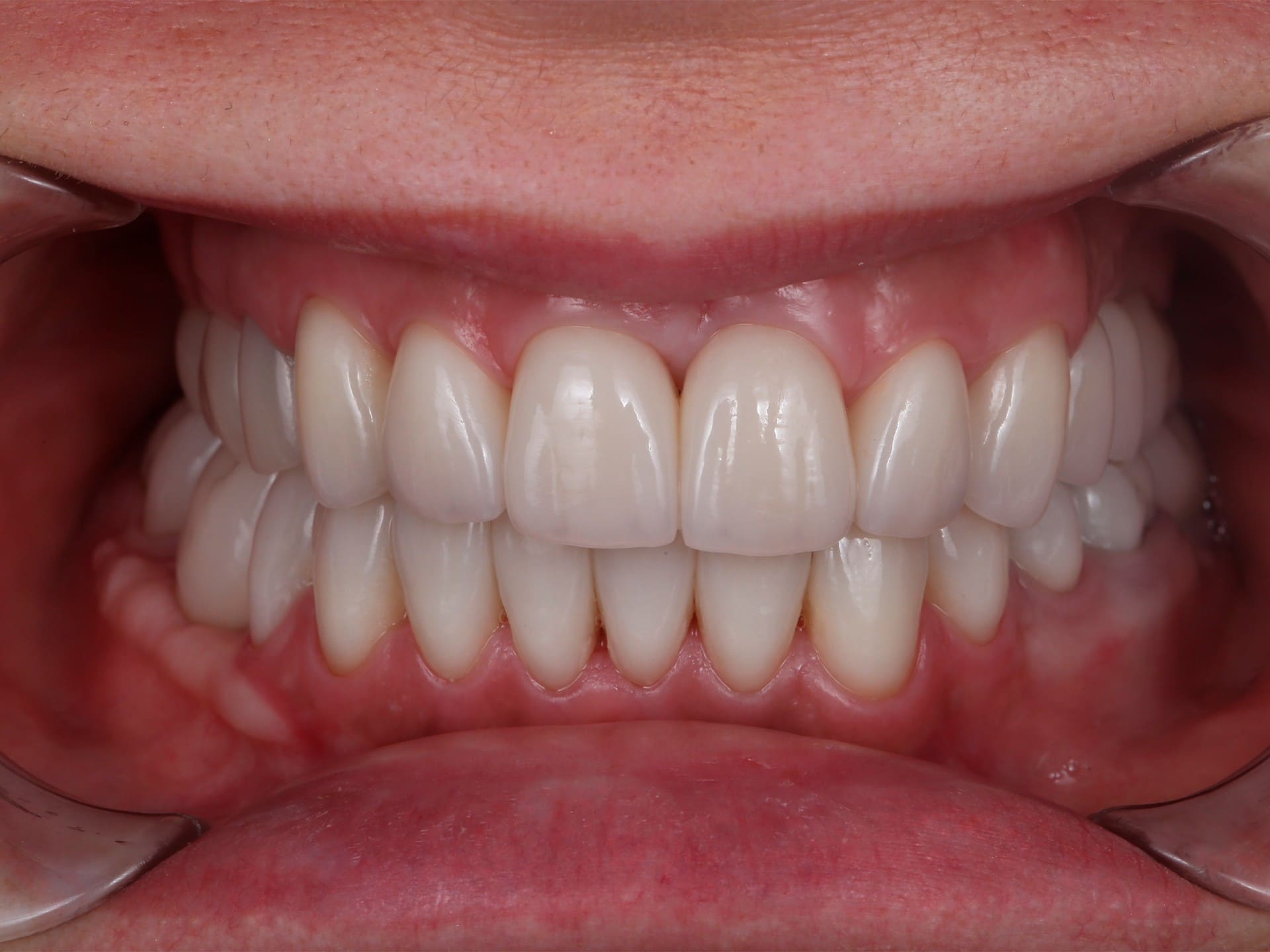
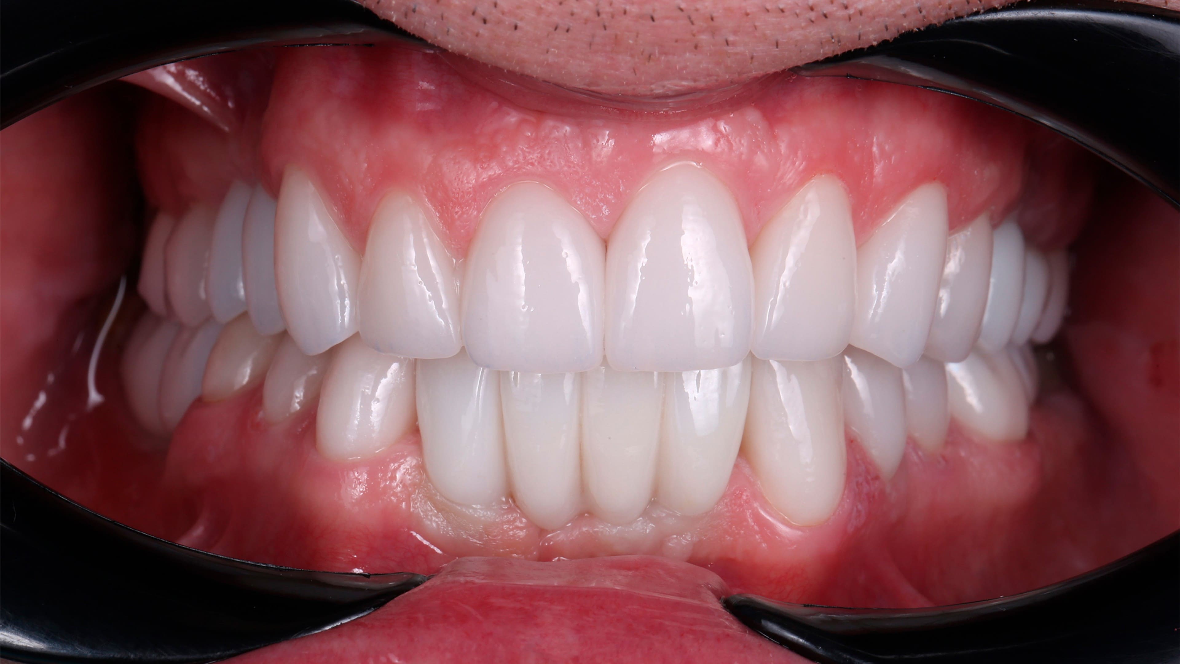
Результат установки зубных имплантов в стоматологии 'Улыбайтесь чаще', фото 1
Результат установки зубных имплантов в стоматологии 'Улыбайтесь чаще', фото 2
Результат установки зубных имплантов в стоматологии 'Улыбайтесь чаще', фото 3

Обратите внимание!

Данные изображения являются фотофиксацией результата проводимой процедуры. Все фото и видео на сайте www.smilemore.ru отображают реальные процессы проведения процедур и проводящих их специалистов.

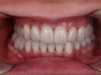
Кейсы

Результат работы наших специалистов

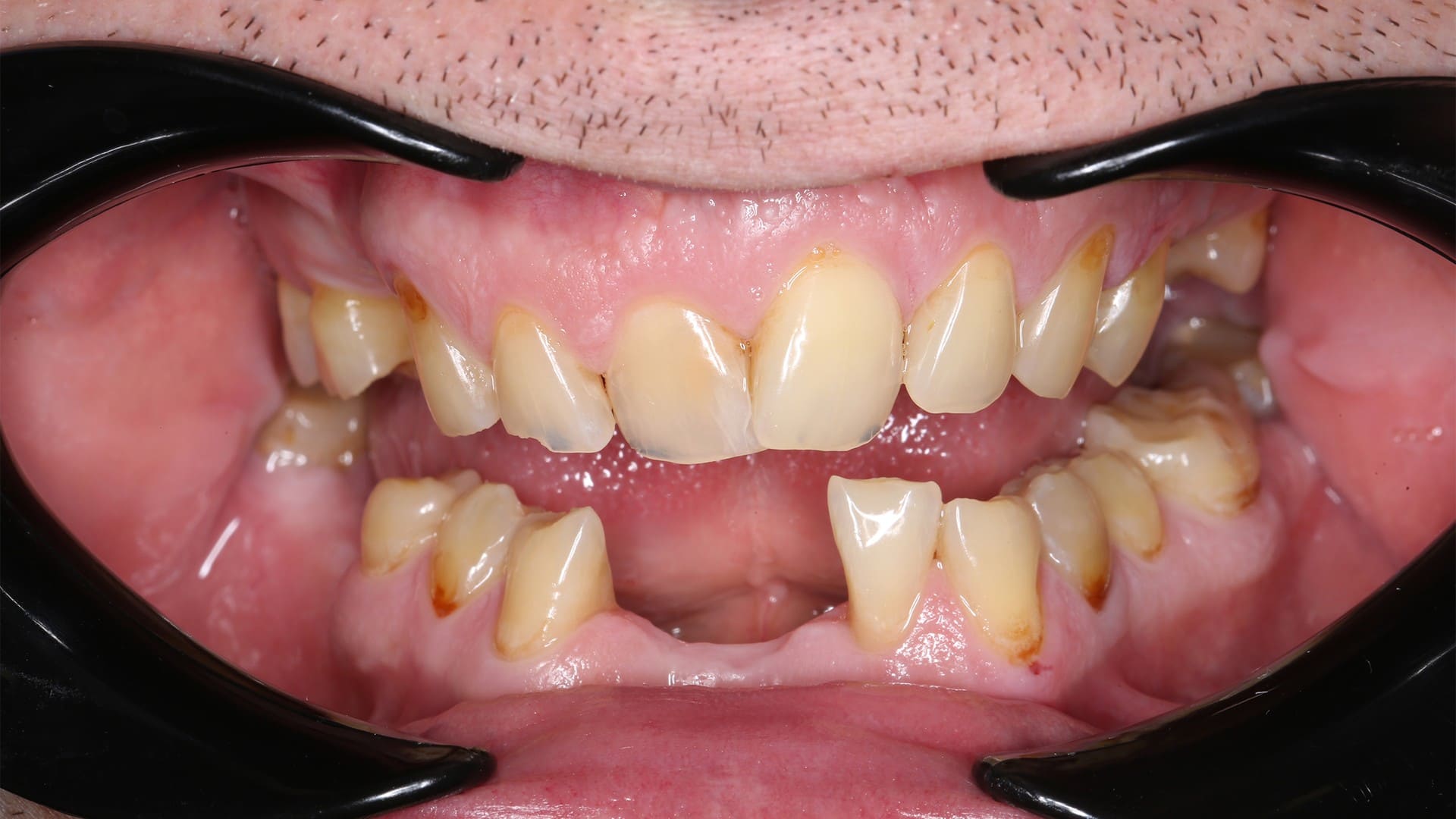
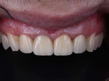
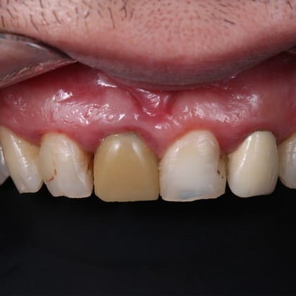
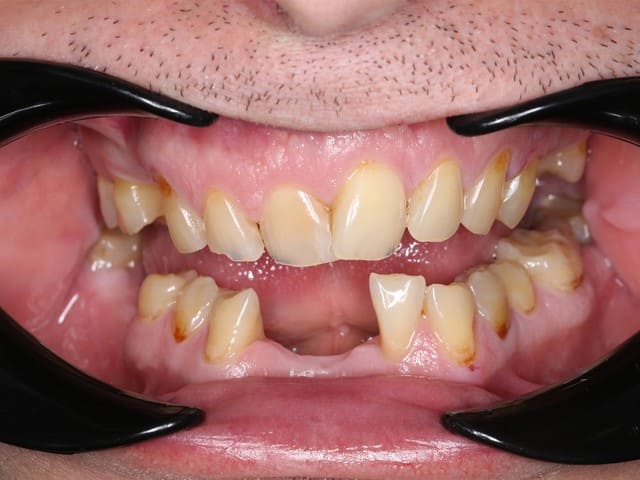
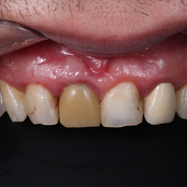
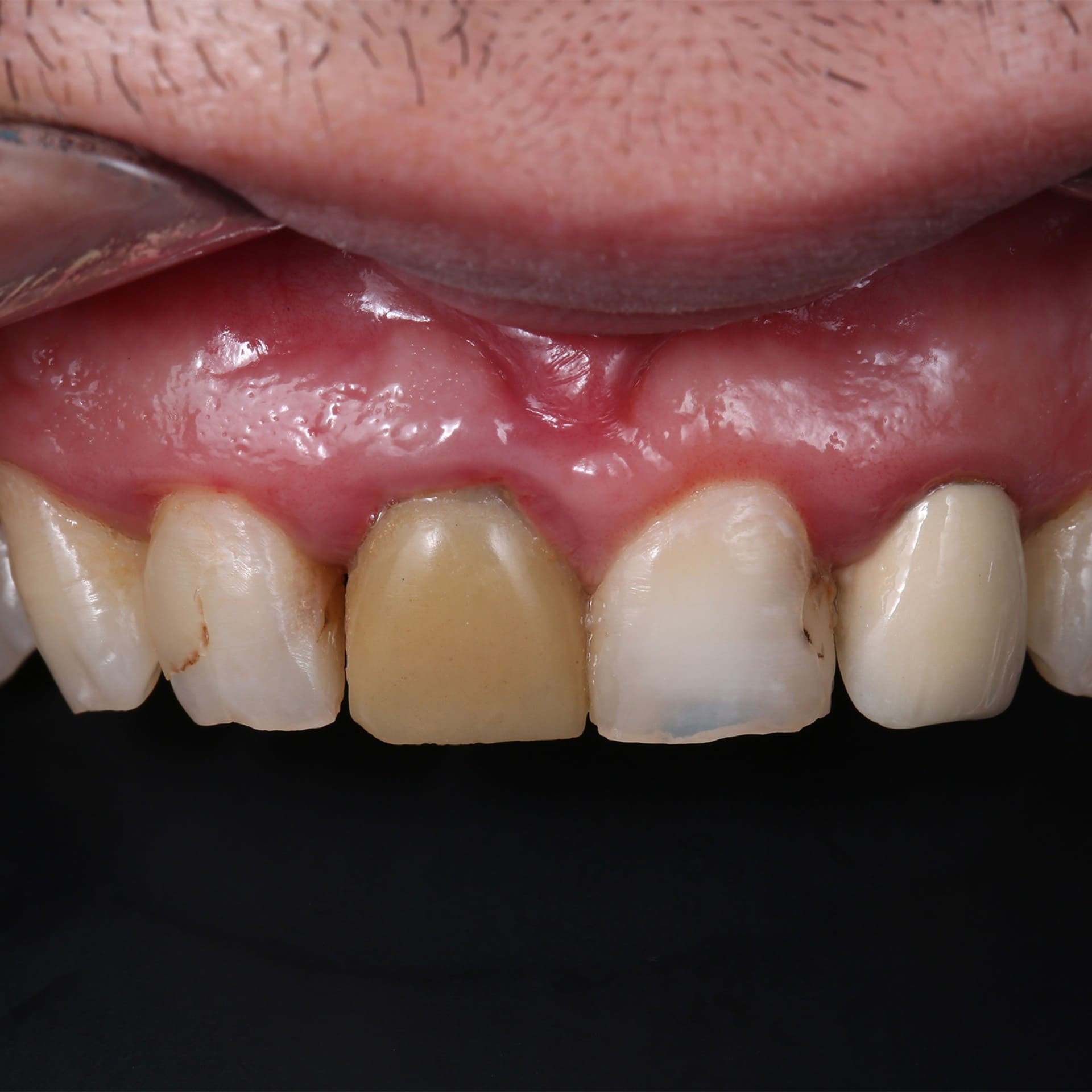
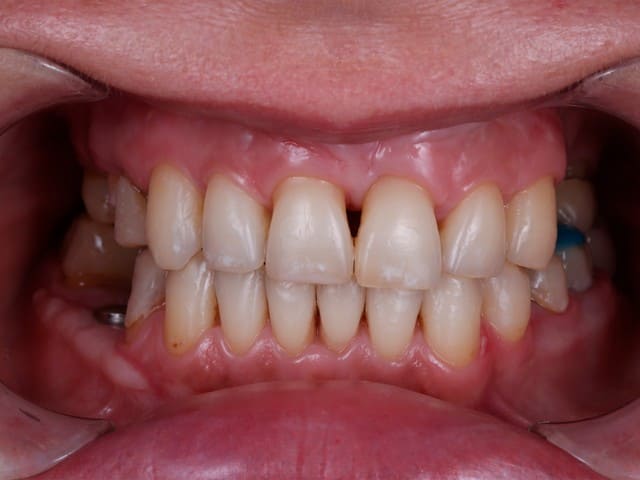
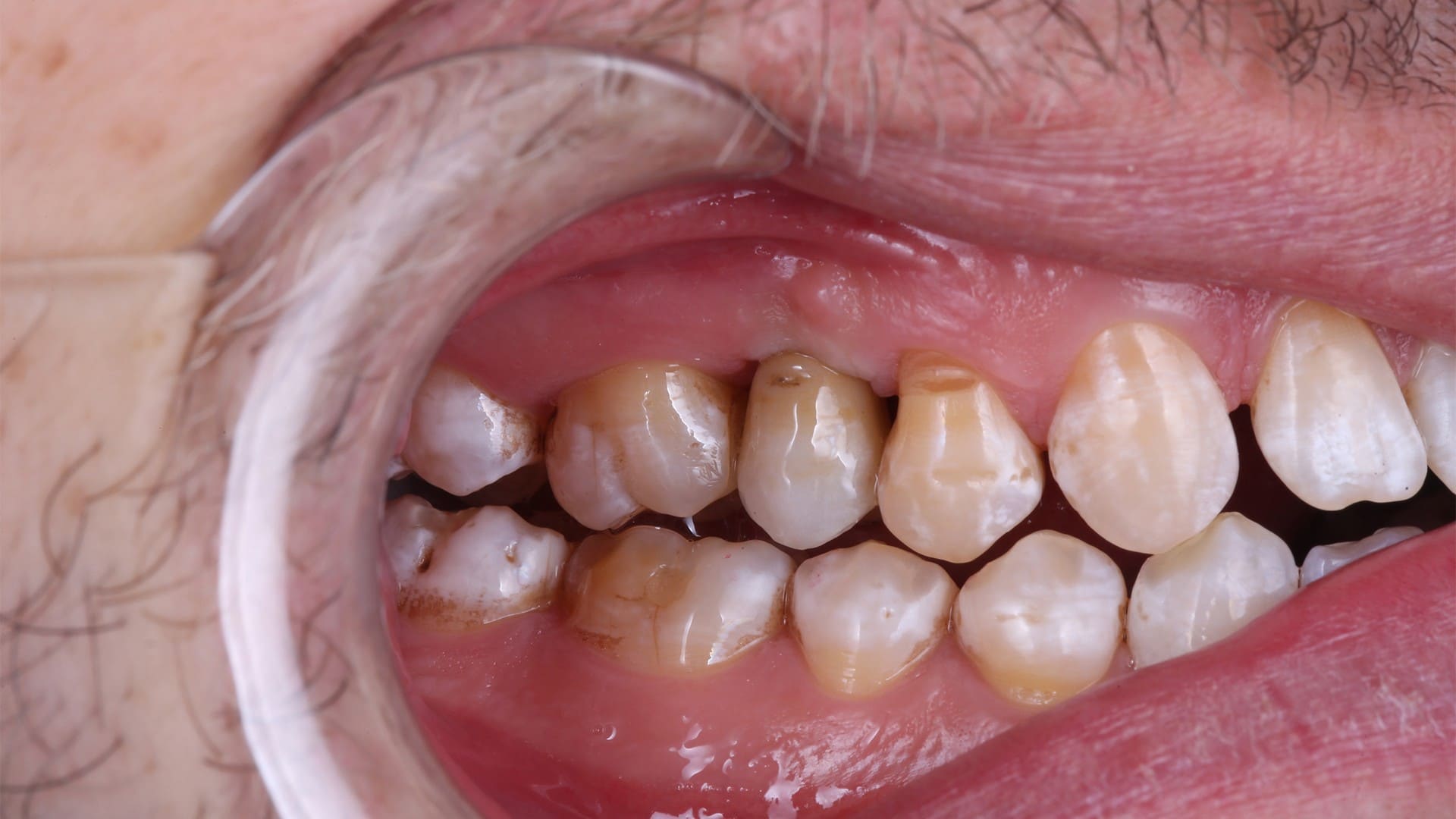
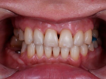
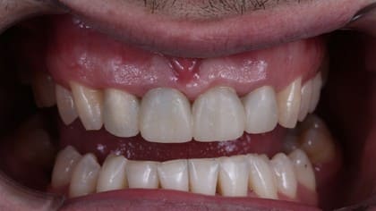
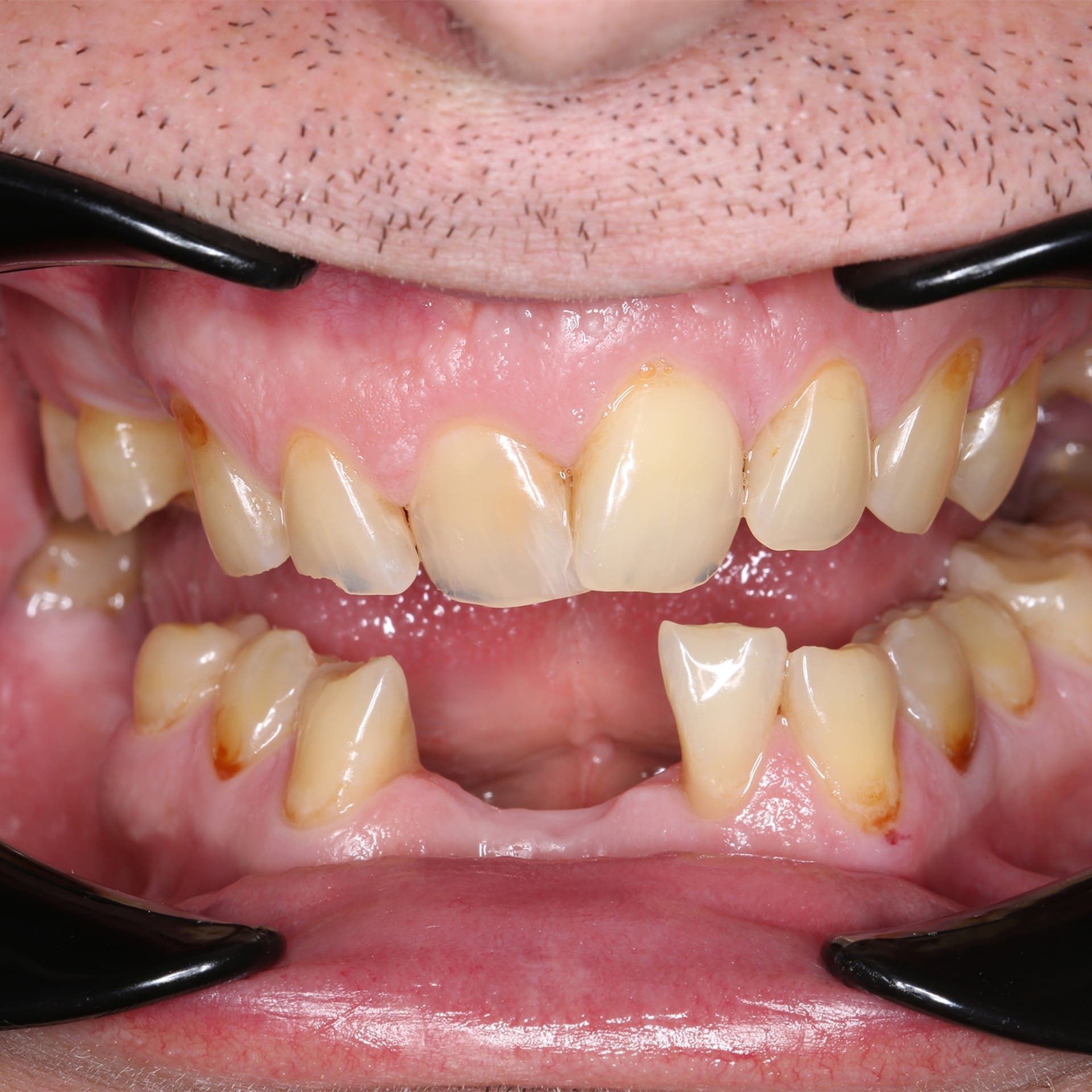
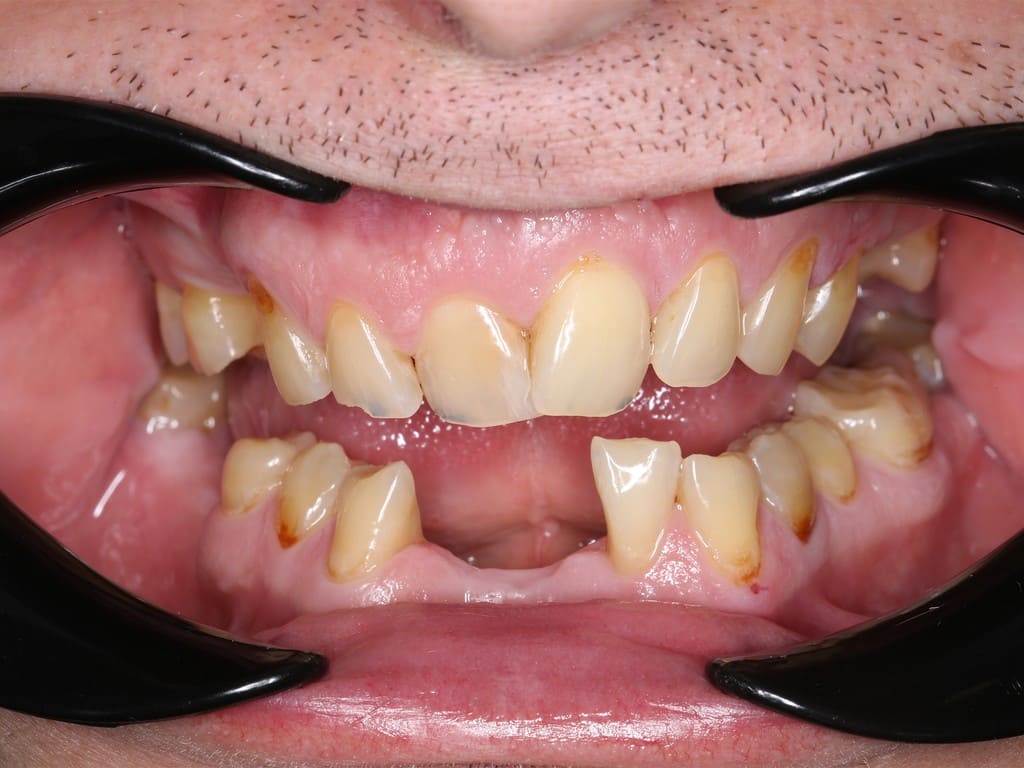
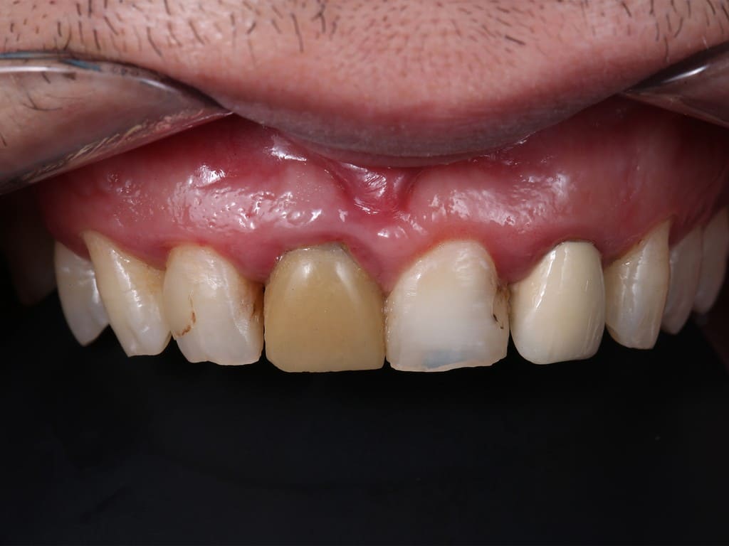
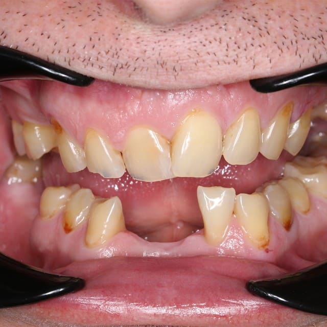
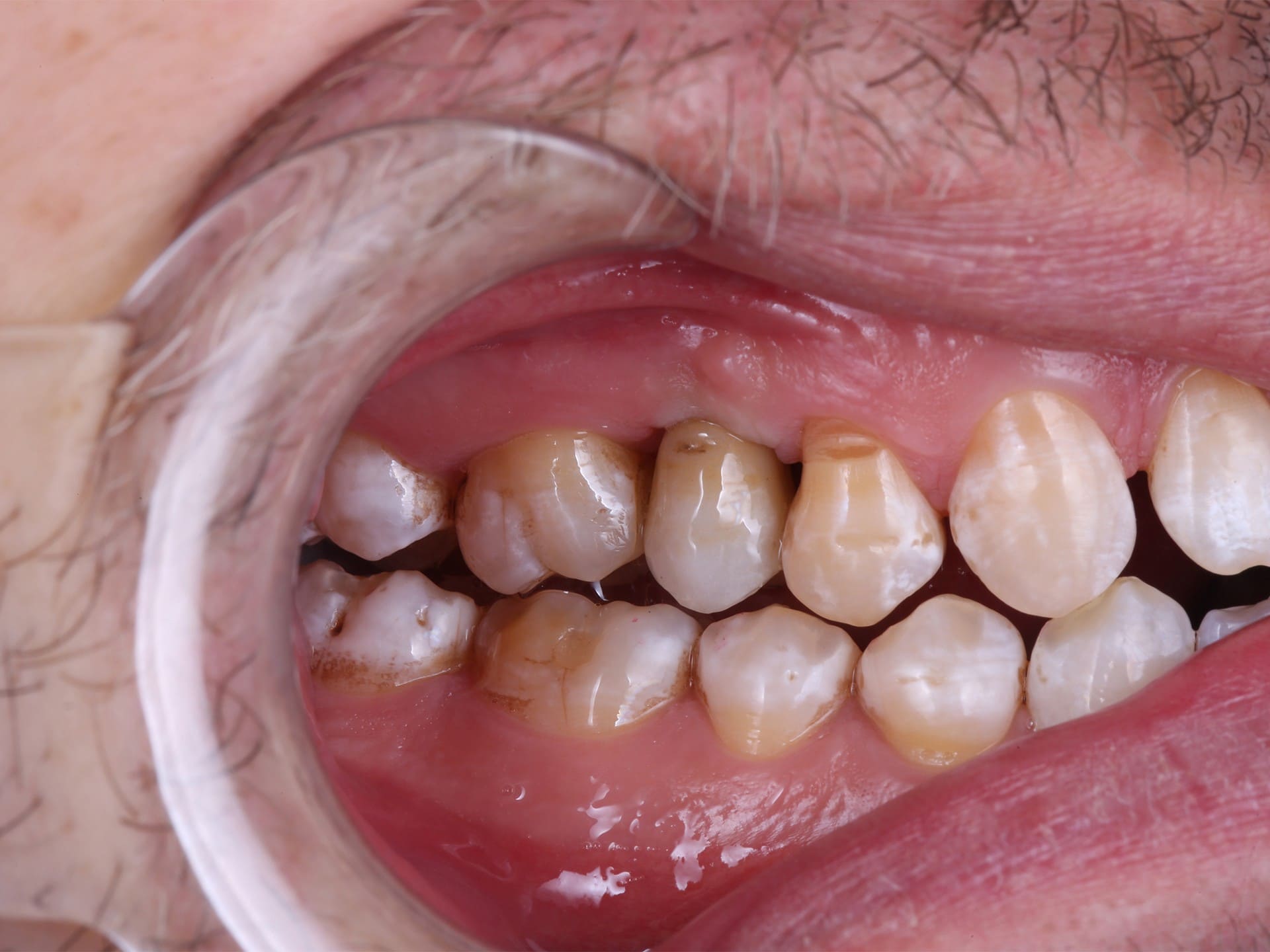
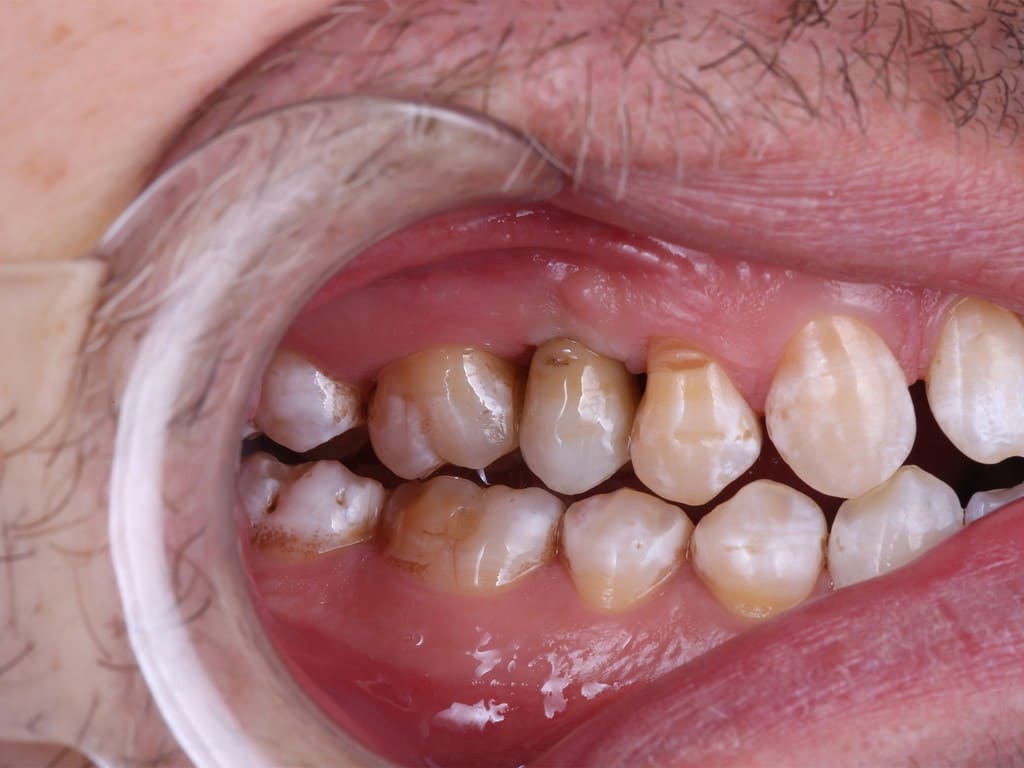
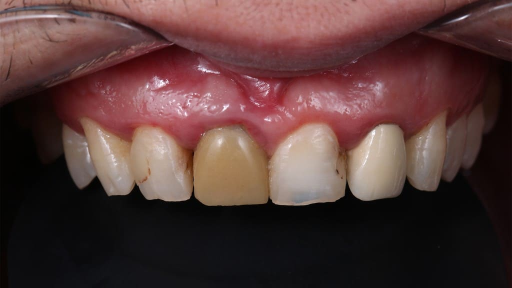
Молодой человек обратился с целью восстановления жевательной функции. Зуб на верхней челюсти был разрушен и удален около 4 лет назад, за это время нижний зуб, напротив утраченного, начал выдвигаться вверх, а соседние зубы начали наклонятся. Эстетических пожеланий у пациента не было.

Зуб на верхней челюсти был разрушен и удален около 4 лет назад, за это время нижний зуб, напротив утраченного, начал выдвигаться вверх
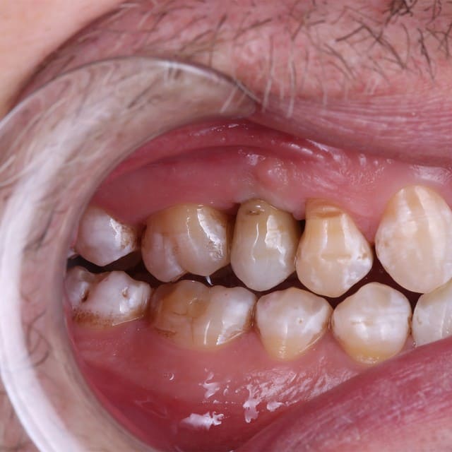
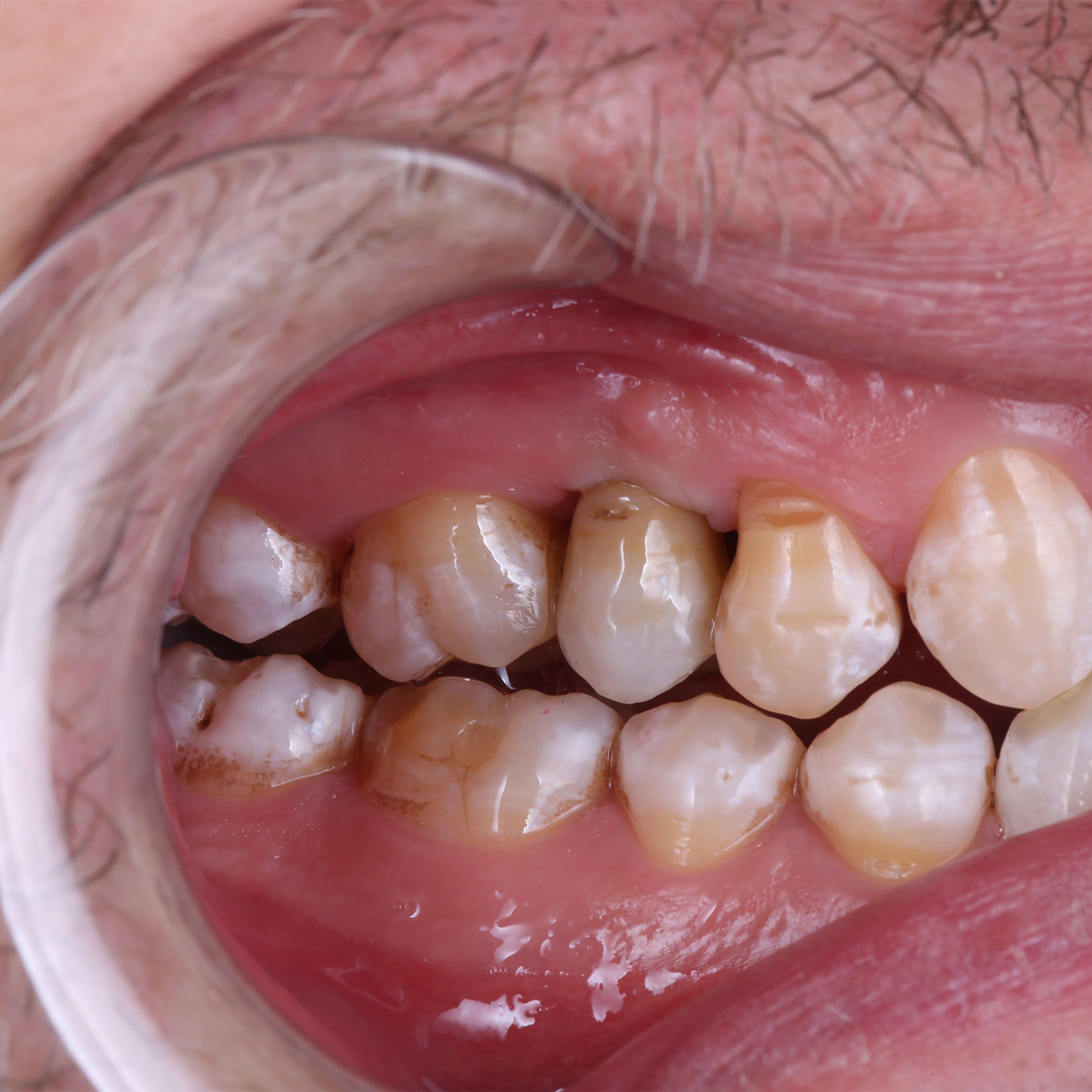
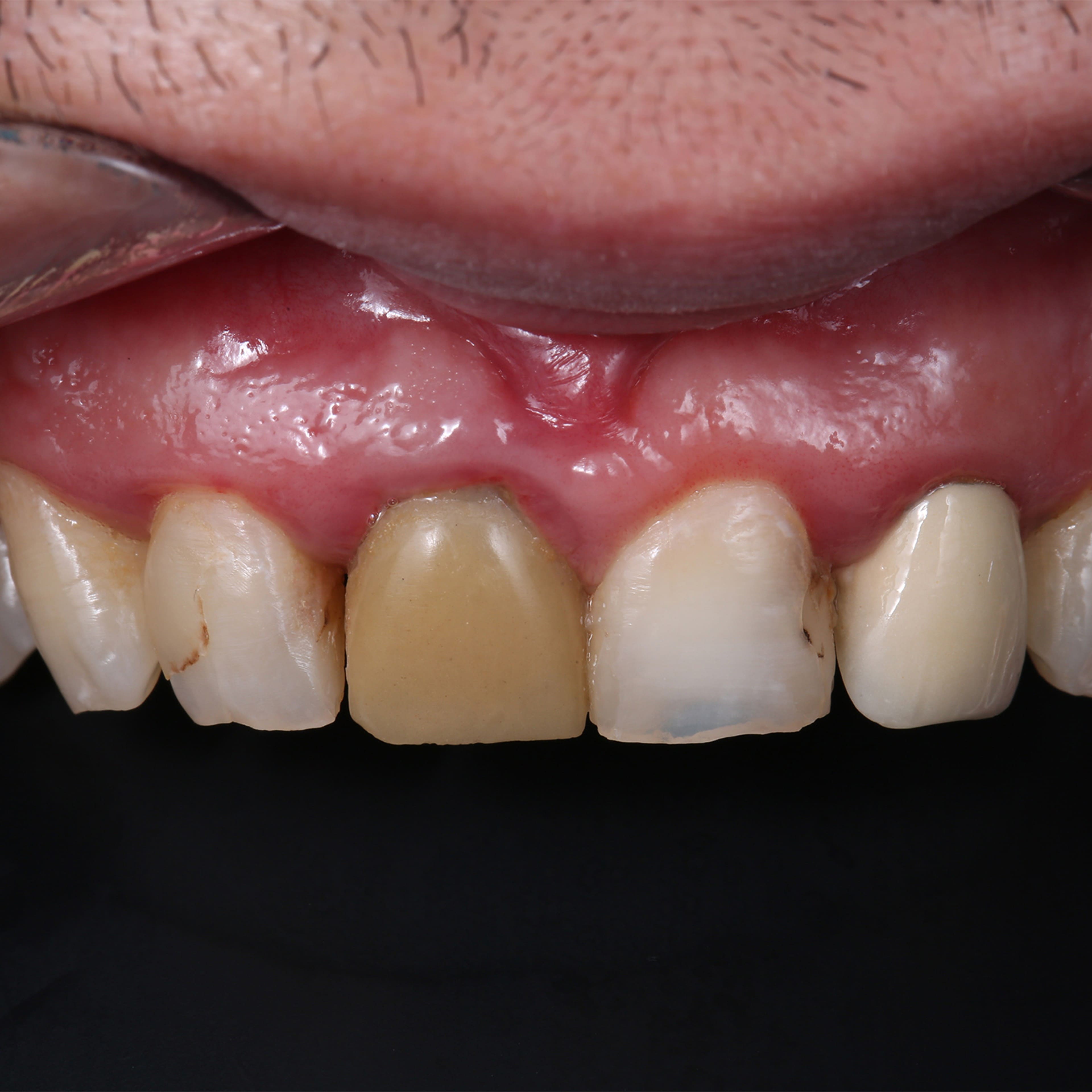
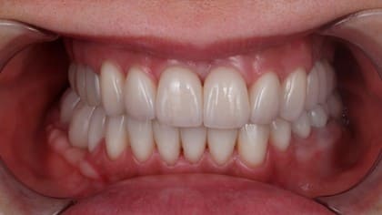
Проведена имплантация, а затем через 3 месяца установлена постоянная циркониевая коронка.

Жалобы

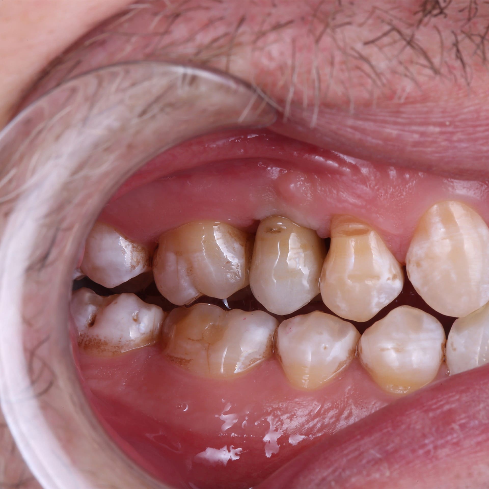
Застревание пищи при жевании, «разъезжание» зубов

Проделанная работа

После осмотра и анализа снимка КТ пациенту составлен план лечения, перед имплантацией необходимо было убрать мягкий налет и кариозные поражения зубов.

Результат работы

После гигиенической профессиональной чистки и лечения проведена имплантация, а затем через 3 месяца установлена постоянная циркониевая коронка художественного исполнения, в точности повторяющая состояние эмали пациента.

Сопутствующие процедуры:

  • Первичный прием стоматолога ортопеда
  • Снимок КТ
  • Прием стоматолога хирурга
  • Профессиональная гигиеническая чистка
  • Лечение кариеса и пульпита
  • Установка импланта и формирователя десны
  • Установка постоянной коронки

Необходимые специалисты:

  • Стоматолог ортопед
  • Стоматолог хирург-имплантолог
  • Зубной техник
  • Ассистент стоматолога
  • Гигиенист

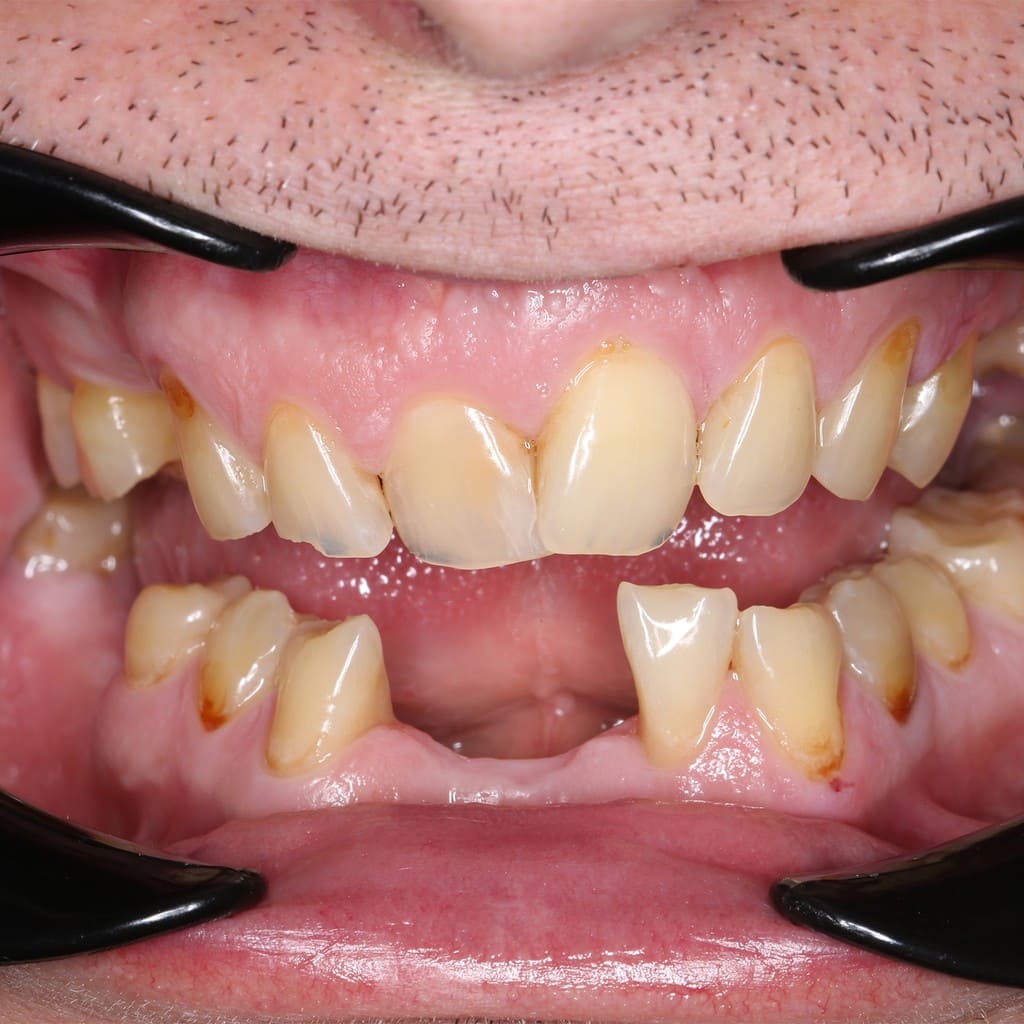
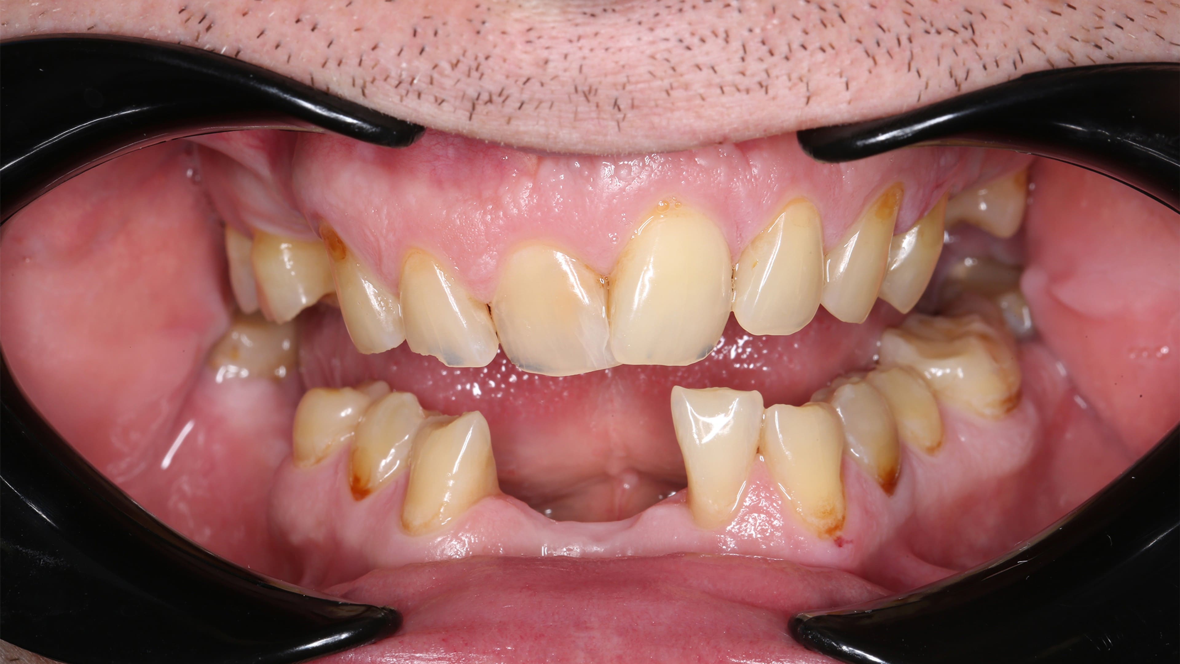
К нам обратилась пациентка с множеством отсутствующих зубов на двух челюстях, остатками корней и сильно разрушенных зубов в переднем отделе. По этическим соображениям и просьбе пациентки фото ДО мы не размещаем.

Зуб на верхней челюсти был разрушен и удален около 4 лет назад, за это время нижний зуб, напротив утраченного, начал выдвигаться вверх
Проведена имплантация, а затем через 3 месяца установлена постоянная циркониевая коронка.
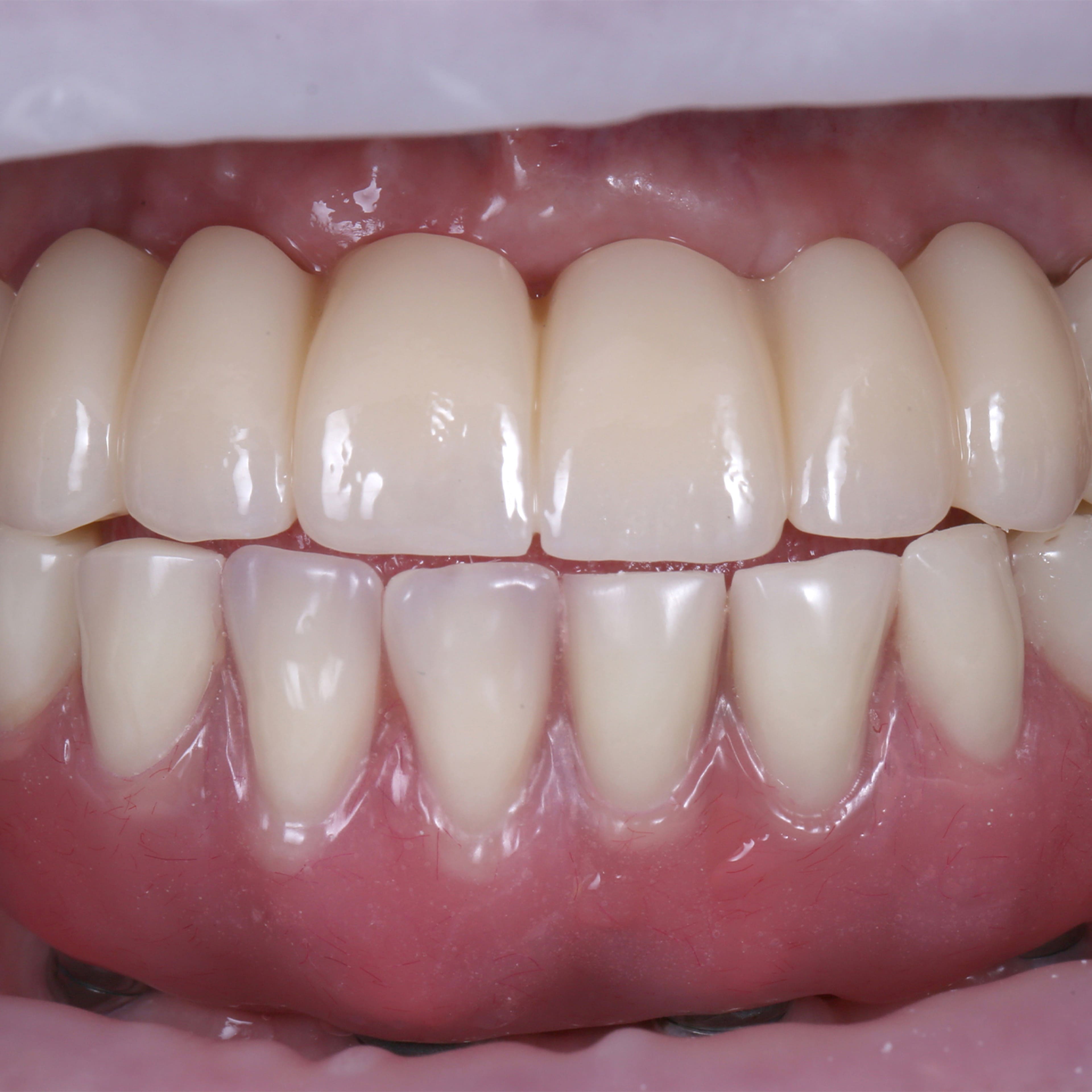
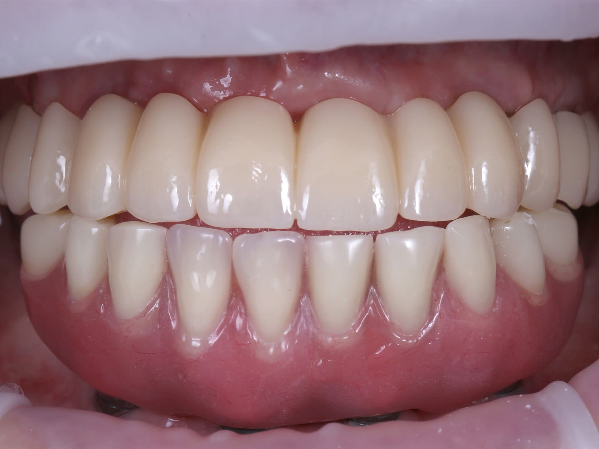
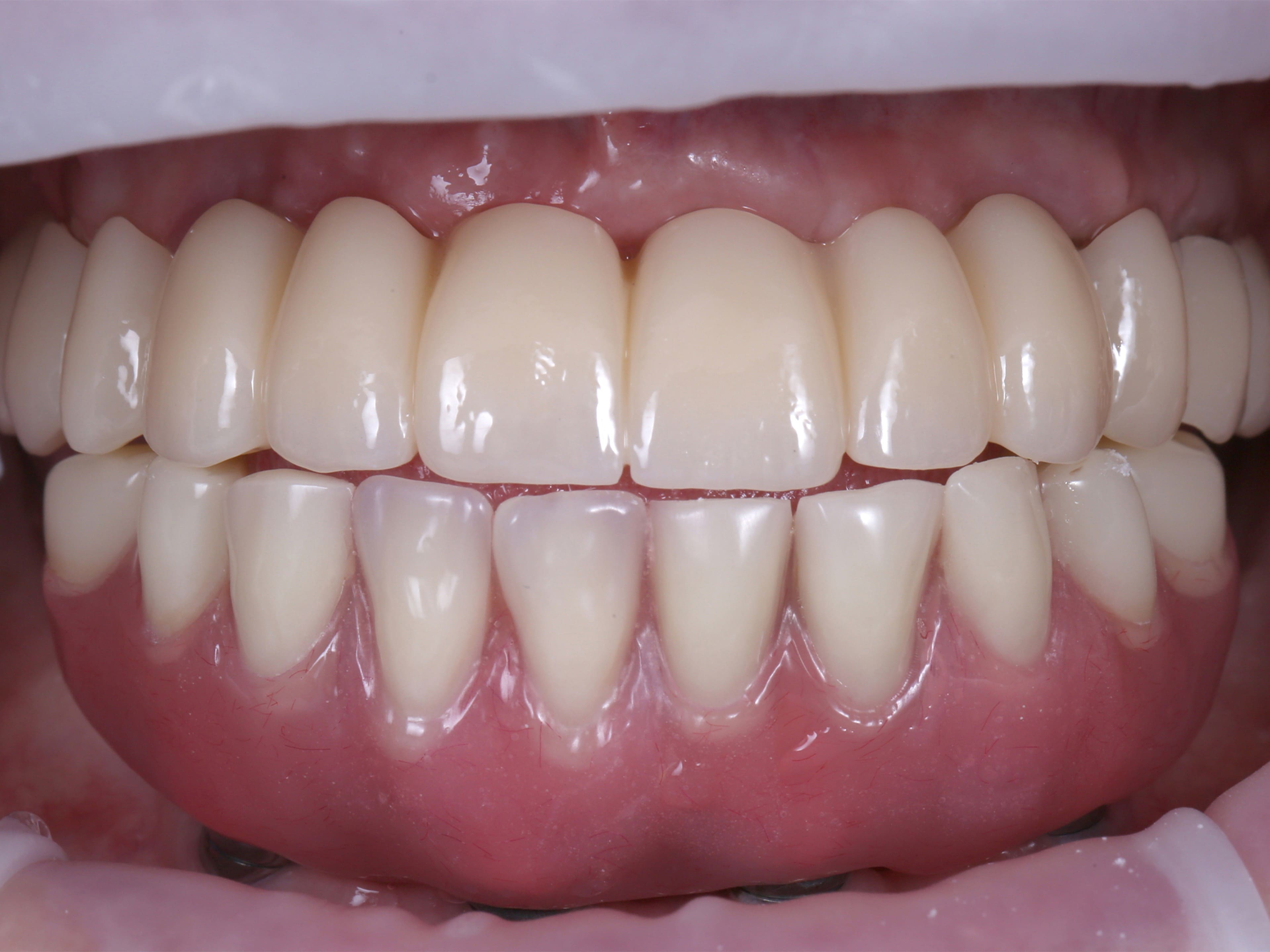
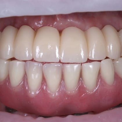
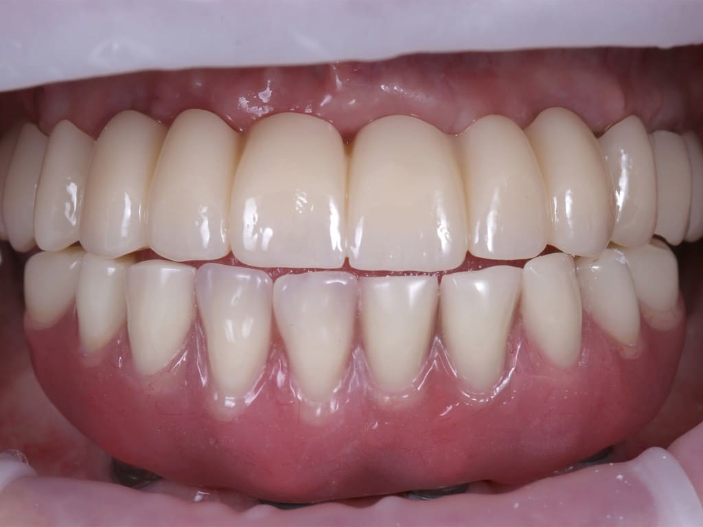
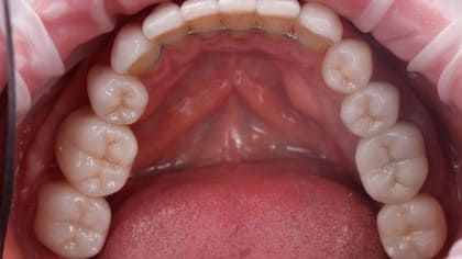
Результат работы по установке имплантов all an 4.

Жалобы

Снижение общего качества жизни, невозможность приема многих видов пищи, общая неудовлетворительная эстетика улыбки.

Проделанная работа

Нашей командой была выполнена имплантация ALL ON 4. Проведено удаление корней разрушенных зубов, установлено 6 имплантов с немедленной нагрузкой на них конструкции из временных фрезерованных коронок. Через 6 месяцев проведена замена временных коронок на постоянную циркониевую конструкцию из 12 единиц.

Результат работы

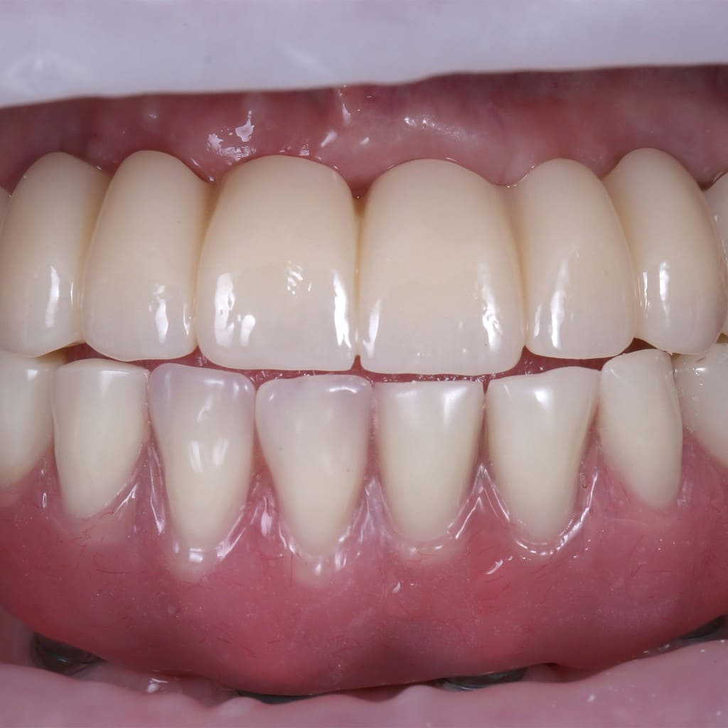
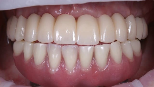
Пациентка уверенно широко улыбается, может комфортно разговаривать, не придерживается «мягкой диеты» и употребляет любую пищу.

Сопутствующие процедуры:

  • Первичный прием стоматолога ортопеда
  • Снимок КТ
  • Интраоральное сканирование
  • Моделирование навигационного хирургического шаблона
  • Установка имплантов INNO
  • Установка мультиюнитов
  • Интраоральное сканирование на имплантах
  • Изготовление конструкции на литой балке
  • Установка временных коронок
  • Установка постоянных коронок

Необходимые специалисты:

  • Стоматолог ортопед
  • Стоматолог хирург-имплантолог
  • Ассистент стоматолога
  • Зубной техник

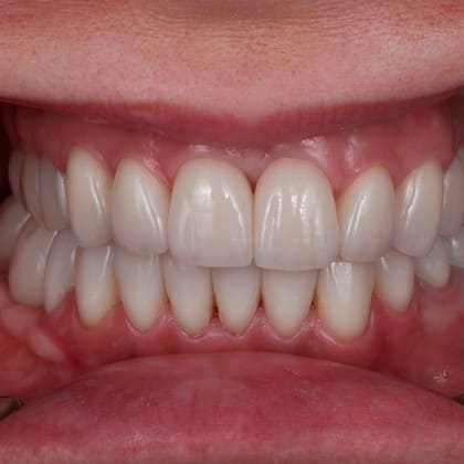
Молодой пациент из другой страны обратился с рядом жалоб – на эстетику, отсутствие возможности улыбаться, на утрату жевательной функции и запах изо рта.

У молодого пациента нарушена эстетика зубов - отсутствие возможности улыбаться, утрата жевательной функции и запах изо рта.
После моделировки новой улыбки изготовлен навигационный шаблон, по которому в предельно точных положениях установлены импланты.
После полного приживления имплантов были установлены 28 постоянных керамических коронок.

Жалобы

Неудовлетворительное состояние всей полости рта.

Проделанная работа

После осмотра и снимка КТ мы выполнили диагностическое сканирование интраоральным сканером, чтобы перенести картину во рту в цифровую модель. После этого на совместной консультации врачами стоматологами ортопедом и хирургом составлен поэтапный план тотальной реабилитации. Пациенту проведена профессиональная гигиеническая чистка. После моделировки новой улыбки изготовлен навигационный шаблон, по которому в предельно точных положениях установлены импланты, замещающие отсутствующие зубы. Для поддержания эстетики были установлены временные коронки лабораторного изготовления. После полного приживления имплантов были установлены 28 постоянных керамических коронок.

Результат работы

Новые керамические реставрации качественно улучшили уровень жизни пациента. Молодой человек улыбается чаще!

Сопутствующие процедуры:

  • Первичный прием стоматолога ортопеда
  • Снимок КТ
  • Снятие старых коронок
  • Препарирование зубов
  • Моделирование Wax-up и Mock-up
  • Установка временных ПММА коронок
  • Установка коронок E.max

Необходимые специалисты:

  • Стоматолог ортопед
  • Стоматолог хирург-имплантолог
  • Гигиенист
  • Ассистент стоматолога
  • Зубной техник

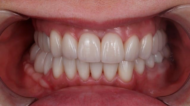
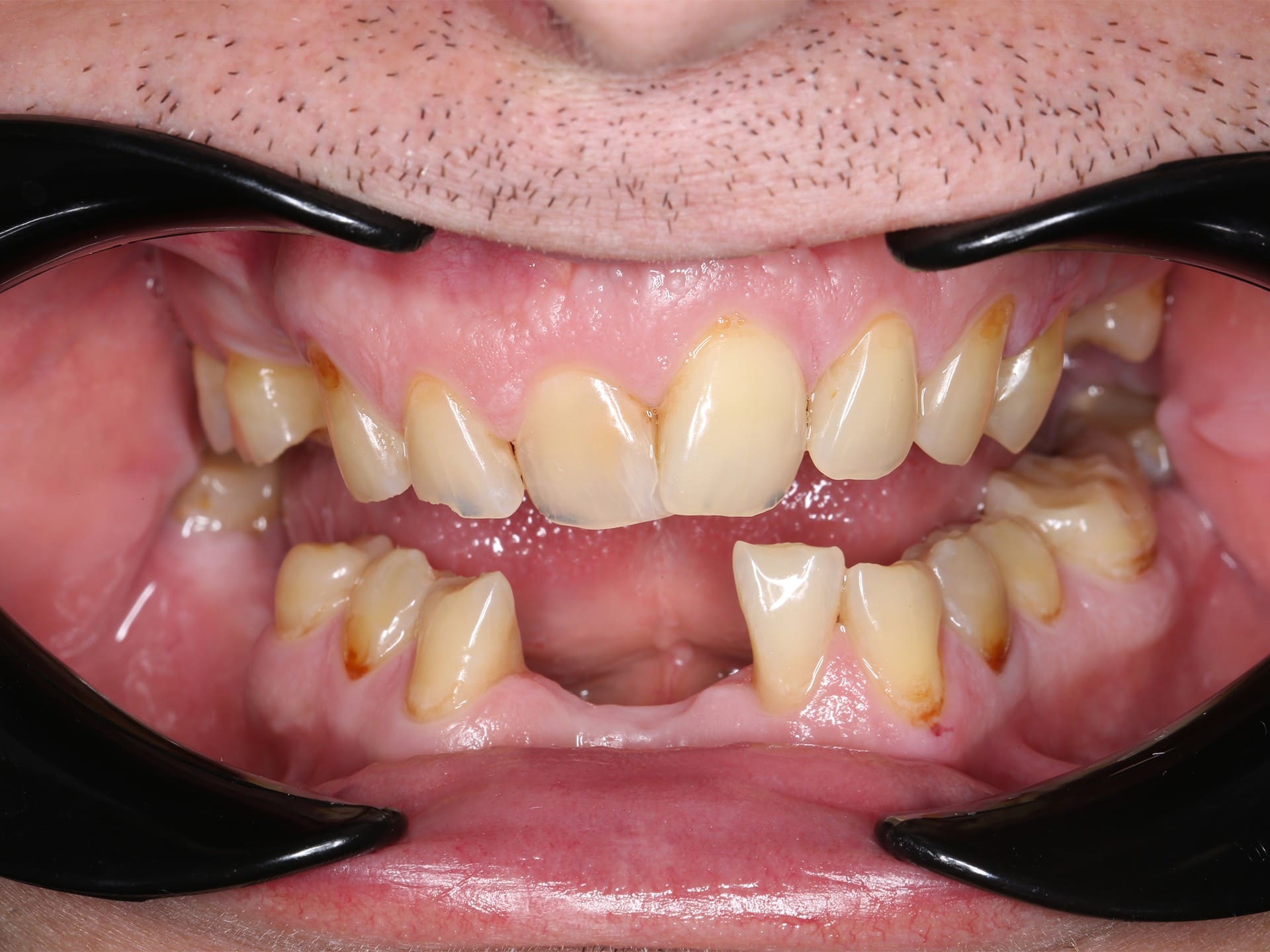
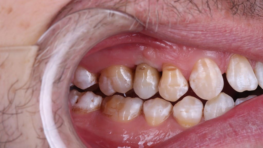
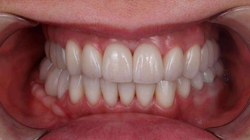
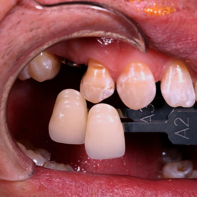
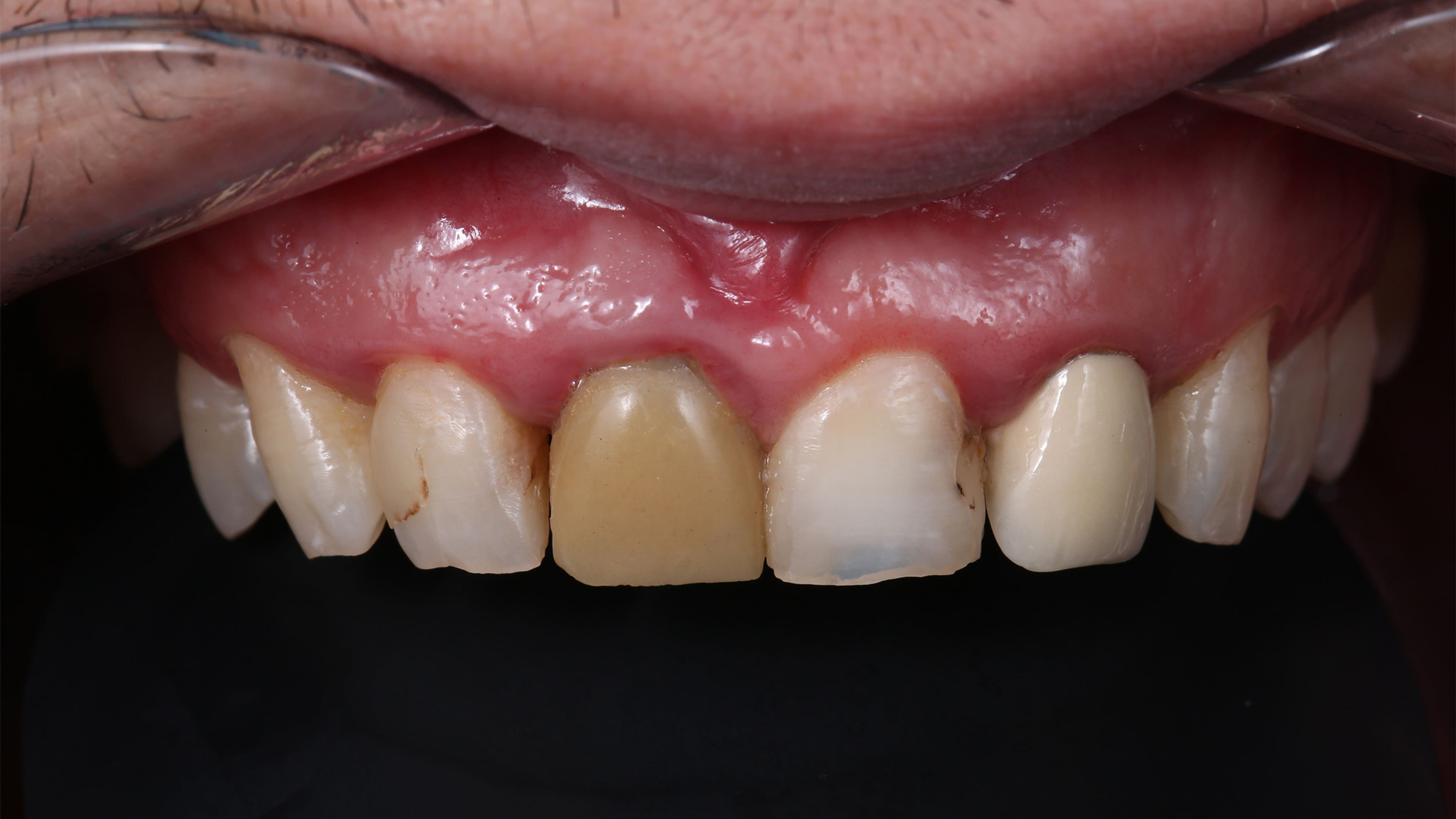
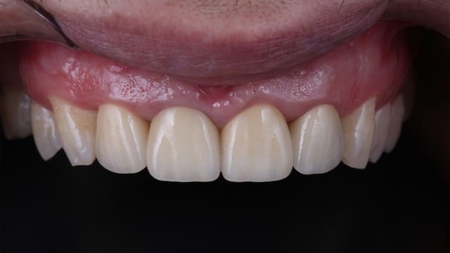
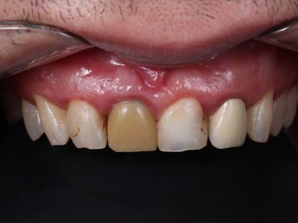
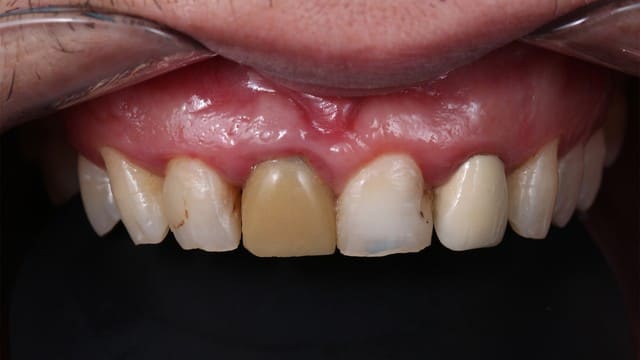
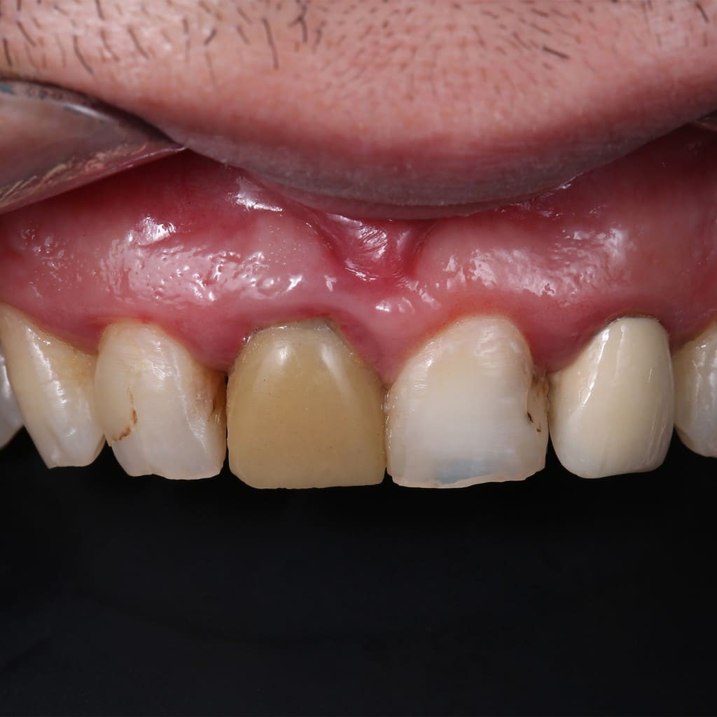
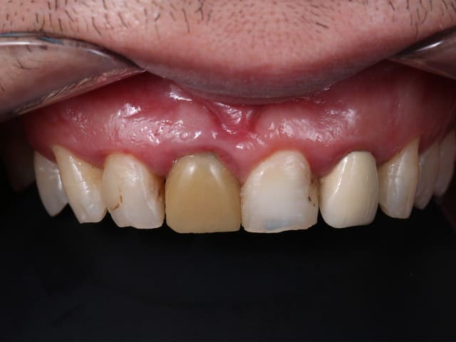
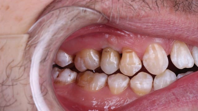
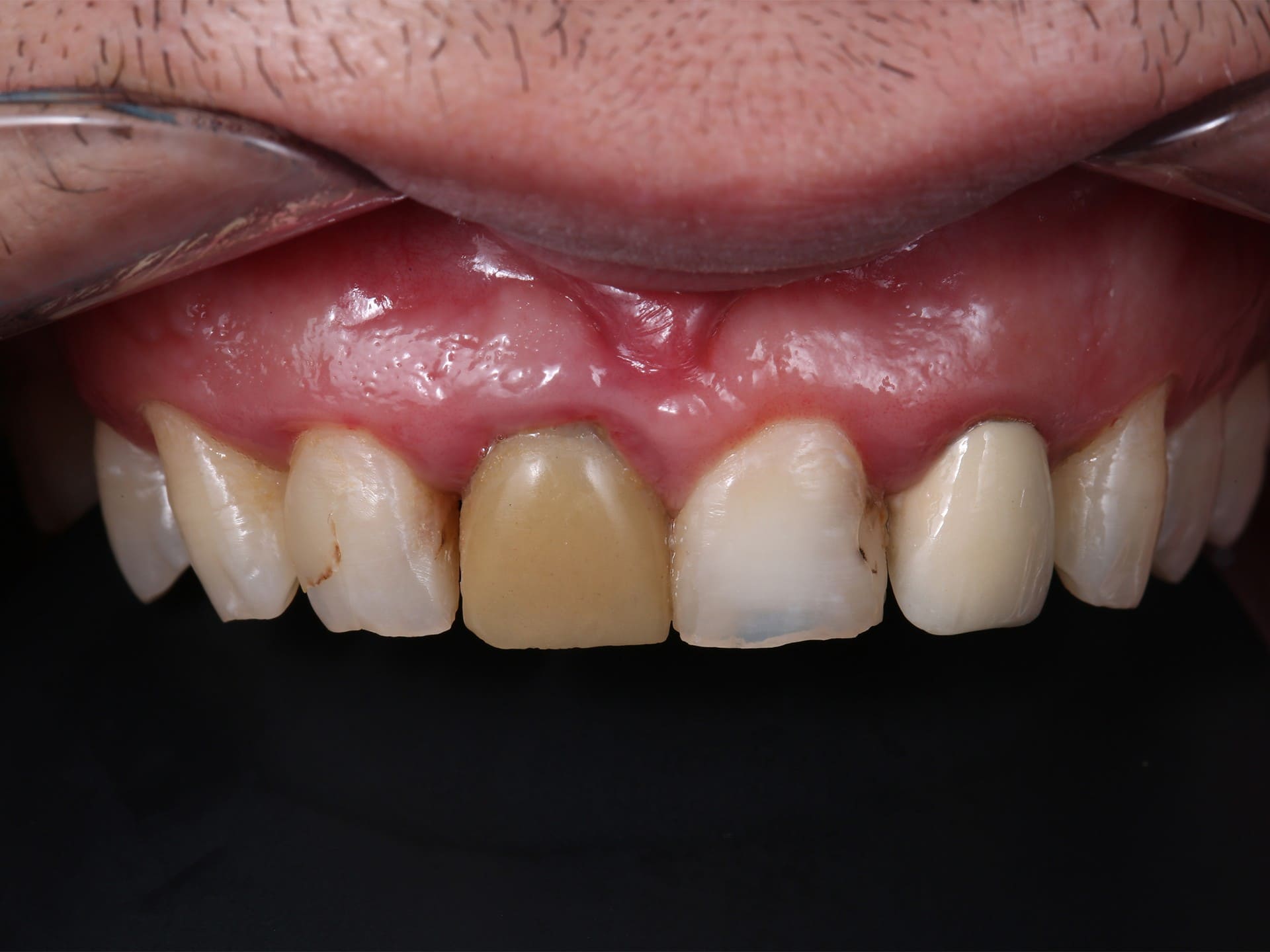
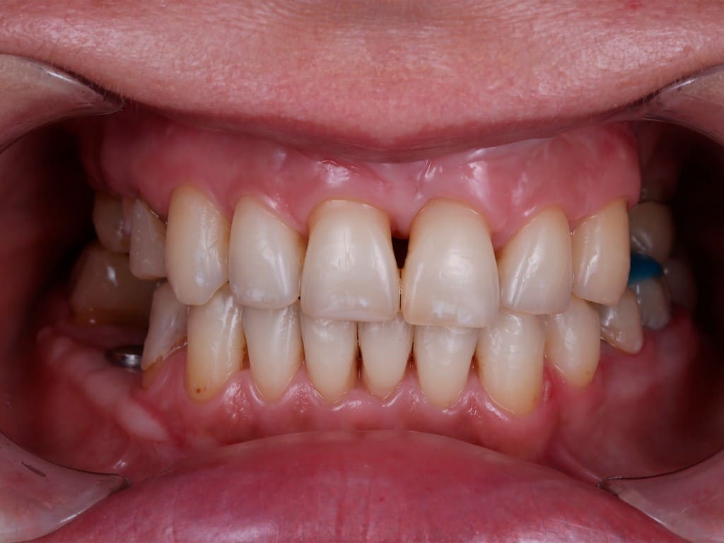
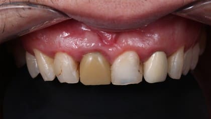
Молодой человек обратился из-за изменения цвета и множественных сколов на коронках, выполненных несколько лет назад в другой клинике.

зубные коронки с измененным цветом и сколами
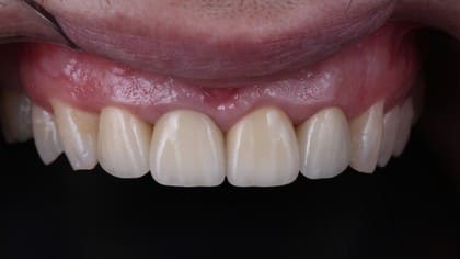
Заменены 4 несостоятельных коронки на керамические коронки E.max.
Новые керамические реставрации идеально вписаны в зубной ряд.

Жалобы

Неудовлетворительное состояние реставраций в зоне улыбки, острые края, сколы.

Проделанная работа

После осмотра и снимка КТ мы предложили замену 4 несостоятельных коронок на керамические коронки E.max. Было выполнено снятие старых конструкций, моделирование макета будущих керамических реставраций, примерка макета в полости рта, работа с десной. После обработки зубов для новой конструкции установлены 4 временных пластмассовых коронки.

Результат работы

Новые керамические реставрации идеально вписаны в зубной ряд пациента, плотно прилегают к своим зубам и деснам, неотличимы от «родных» зубов. Молодой человек улыбается чаще!

Сопутствующие процедуры:

  • Первичный прием стоматолога ортопеда
  • Снимок КТ
  • Снятие старых коронок
  • Препарирование зубов
  • Моделирование Wax-up и Mock-up
  • Установка коронок E.max

Необходимые специалисты:

  • Стоматолог ортопед
  • Ассистент стоматолога
  • Зубной техник

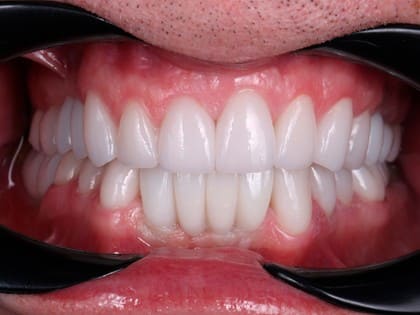
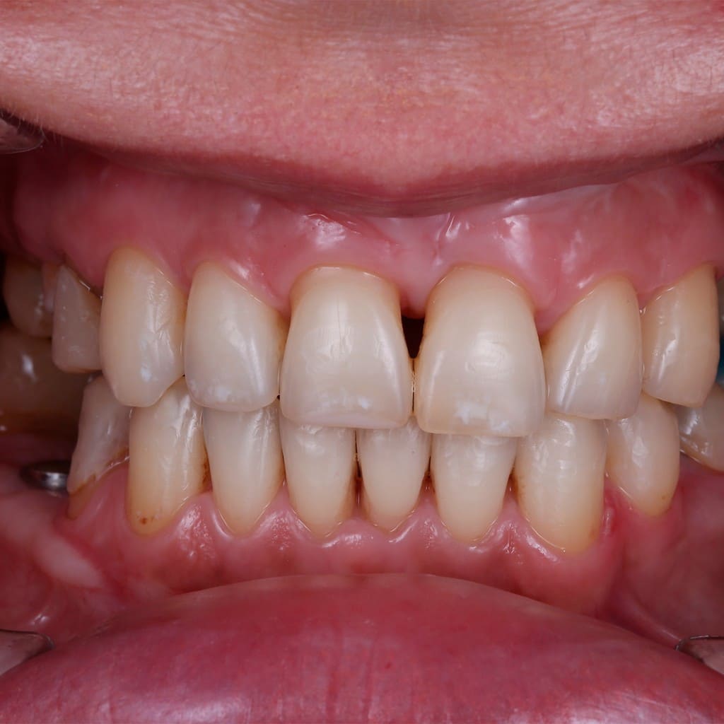
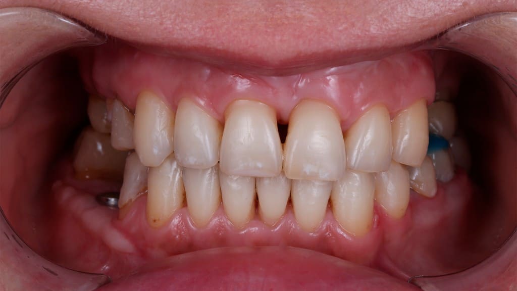
Пациентка обратилась после ортодонтического лечения для восстановления жевательной функции и эстетики улыбки.

Состояние старых реставраций до начала лечения. Отсутствие жевательных зубов.
Установка имплантов и временных коронок.
Результат работы - новая улыбка.

Жалобы

Неудовлетворительное состояние старых реставраций, отсутствие гармонии в зоне улыбки, отсутствие жевательных зубов.

Проделанная работа

После окончания ортодонтического лечения. Старые, не соответствующие клиническим показаниям коронки, сняты. Проведена подготовка полости рта под тотальное восстановление зубов. Смоделирован макет будущей улыбки и перенесен в полость рта для «примерки». При помощи специального оборудования - лицевой дуги - спланировано гармоничное расположение передних зубов, рассчитана верная нагрузка для восстановления жевательной функции. После обработки зубов для новой конструкции установлены временные ПММА коронки. В результате работы установлены 22 керамические реставрации на двух челюстях, работа на имплантах выполнена с индивидуальными абатментами для сохранения эстетических функций.

Результат работы

Проведено полное восстановление жевательной функции, верного прикуса. Пациент может разнообразно питаться без диет и ограничений. Восстановление зубных рядов, длины и анатомически правильной формы каждого зуба «наполнило» нижнюю треть лица, создав лифтинг-эффект молодого овала. Пациентка часто радостно улыбается! Новая улыбка полностью гармонично и естественно выглядит, нет ощущения искусственности.

Сопутствующие процедуры:

  • Первичный прием стоматолога ортопеда
  • Снимок КТ
  • Прием стоматолога хирурга имплантолога
  • Установка импланта и формирователя десны
  • Лицевая дуга
  • Моделирование Wax-up и Mock-up
  • Препарирование зубов
  • Установка временных коронок
  • Индивидуальный циркониевый абатмент
  • Установка постоянных виниров и коронок

Необходимые специалисты:

  • Стоматолог ортопед
  • Стоматолог хирург имплантолог
  • Ассистент стоматолога
  • Зубной техник

FAQ

Ответы на часто задаваемые вопросы

Что входит в стоимость лечения?

Мы формируем итоговую стоимость по принципу «всё включено», наши цены максимально прозрачные и понятные. На примере восстановления зуба коронкой видно, что это комплексная услуга, состоящая из многих этапов, но пациенту не нужно скрупулёзно изучать все нюансы работы врача-ортопеда. Мы не дробим прайс на множество позиций, а указываем конечную стоимость.

Зачем нужно приходить на осмотры два раза в год?

Регулярные посещения стоматолога помогают выявлять проблемы с полостью рта на ранних стадиях, проводить профилактические мероприятия, такие как чистка зубов и удаление зубного налета, а также предотвращать развитие более серьезных заболеваний.

Как долго нельзя есть после пломбирования зуба?

После пломбирования зуба рекомендуется воздерживаться от пищи и напитков в течение 1–2 часов. Это время необходимо для того, чтобы прошло действие анестезии, пломба полностью застыла и зафиксировалась в зубе. Кроме того, в течение первых 24 часов после пломбирования рекомендуется избегать горячей или очень холодной пищи и напитков, чтобы предотвратить появление чувствительности или боли. После того как пломба зафиксировалась и зуб начал чувствовать себя нормально, вы можете возвращаться к обычному рациону и режиму питания. Однако, если возникают какие-либо проблемы, боли или дискомфорт, необходимо обратиться к стоматологу для дополнительной консультации и диагностики.

Какие симптомы свидетельствуют о необходимости срочного обращения к стоматологу?

Срочно нужно обратиться к стоматологу, если у вас есть сильная боль в зубе или десне, отечность лица, кровотечение изо рта, повышенная чувствительность зубов к холоду или теплу, а также в случае травмы или потери зуба.

Какие проблемы могут возникнуть из-за неправильного прикуса?

Неправильный прикус может привести к дисфункции челюстей, боли при жевании, износу зубов, проблемам с суставами челюсти и даже головным болям.

Чем отличаются виниры от коронок?

Виниры — это тонкие оболочки, покрывающие переднюю часть зубов, а коронки — это чашеобразные конструкции, покрывающие всю видимую часть зуба.

Какие преимущества имплантов по сравнению с мостами?

Импланты имеют ряд преимуществ, включая сохранение соседних здоровых зубов, лучшую функциональность (отсутствие «подвесной части») и эстетику, а также долговечность.

Что такое имплантация зубов ALL ON 4 и каковы её преимущества?

Это концепция восстановления зубов несъемным протезом с опорой на имплантаты. Протокол позволяет вернуть пациенту красивую улыбку, правильный прикус и естественный овал лица буквально за один день. В основе метода лежит применение высокоточных трехмерных изображений челюсти, полученных путем сканирования ротовой полости. Чтобы установить условно-съемный протез, в челюсть вживляется четыре титановых имплантата. После чего на опоры фиксируется протез из композита или акрила с искусственными зубными коронками. Конструкция закрепляется винтами, которые закрываются пломбировочным материалом или цементом для достижения максимального эстетического результата. Винтовая фиксация более удобна в эксплуатации, имеет ряд преимуществ перед альтернативными вариантами. Стоматолог всегда имеет возможность отсоединить протез без повреждения окружающих тканей и провести починку, перебазировку, подгонку или чистку.

Через какое время после удаления зуба можно ставить имплантат?

Время перед установкой имплантата после удаления зуба может варьироваться в зависимости от индивидуальных обстоятельств и состояния пациента. Однако обычно рекомендуется ждать от 2 до 6 месяцев, прежде чем устанавливать имплантат. Этот период времени, называемый периодом остеоинтеграции, позволяет костной ткани заживать и подготавливаться для приема имплантата. В случае необходимости более сложной хирургической процедуры или если есть особые изначальные проблемы с костной тканью, этот срок также может быть увеличен. Однако в некоторых случаях стоматолог может решить установить временный протез (например, временный мост) сразу после удаления зуба, в то время как костная ткань заживает, что позволяет пациенту сохранять эстетику и функциональность зубного ряда.

Чем отличается гингивит от пародонтита?

Гингивит — это воспаление десен, обычно вызванное неправильной гигиеной полости рта. Пародонтит же — это более серьезное заболевание, когда воспаление распространяется на ткани, поддерживающие зуб. Пародонтит, в отличие от гингивита, может привести к потере зубов.

Могут ли женщины посещать стоматолога во время беременности?

Да, беременные женщины должны продолжать посещать стоматолога и поддерживать хорошее здоровье. Однако необходимо предупредить стоматолога о беременности для принятия соответствующих мер предосторожности.

Какие финансовые варианты лечения предлагает ваша клиника?

У нас предусмотрены различные варианты оплаты. Мы сотрудничаем с ведущими страховыми компаниями (Альфастрахование, Согаз, Росгосстрах, Энергогарант). Также длительное ортодонтическое (брекеты и элайнеры) и ортопедическое лечение оплачивается поэтапно в рассрочку для облегчения финансовой нагрузки.

Отзывы

Наши пациенты пишут
о нас

Допустима только кириллица
Допустимы только цифры
Допустима только кириллица, точки и запятые